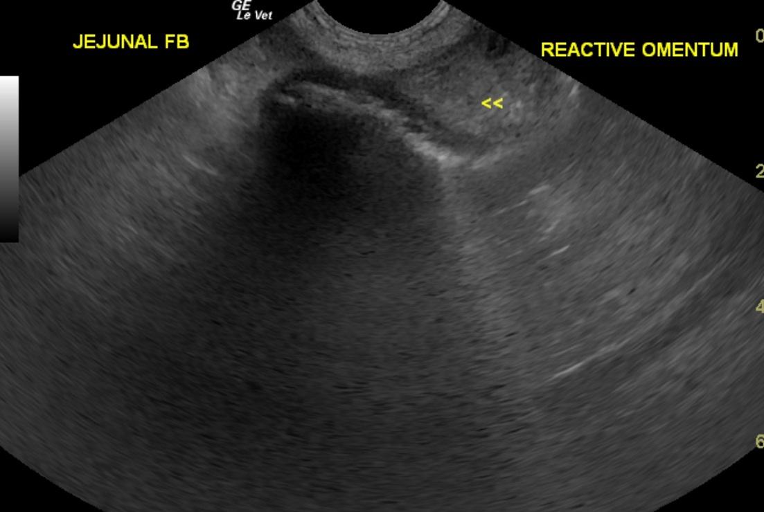
A 7-year-old MN Dachshund was presented for anorexia, dehydration, and vomiting for two days. Recent CBC and chemistry panel had shown elevated HCT, neutrophilia, monocytosis, low sodium, low potassium and low chloride, and elevated ALP; elevated AST activity, elevated amylase, increased anion gap, increased bicarbonate, elevated urea, elevated cholesterol, elevated creatinine, elevated phosphate and elevated CK. 4DX snap ELISA was negative and urinalysis and fecal examination within normal limits.
A 7-year-old MN Dachshund was presented for anorexia, dehydration, and vomiting for two days. Recent CBC and chemistry panel had shown elevated HCT, neutrophilia, monocytosis, low sodium, low potassium and low chloride, and elevated ALP; elevated AST activity, elevated amylase, increased anion gap, increased bicarbonate, elevated urea, elevated cholesterol, elevated creatinine, elevated phosphate and elevated CK. 4DX snap ELISA was negative and urinalysis and fecal examination within normal limits.

