Intestinal foreign body in a 12 year old MN German Shepherd Dog

Case Study

Intestinal foreign body in a 12 year old MN German Shepherd Dog

A 12-year-old MN German Shepherd Dog was presented for persistent vomiting and anorexia over a 3 day period. The physical exam revealed moderate dehydration and a palpably enlarged and painful spleen. The CBC presented slight neutropenia. Blood chemistry analysis revealed only a moderately elevated amylase.

A 12-year-old MN German Shepherd Dog was presented for persistent vomiting and anorexia over a 3 day period. The physical exam revealed moderate dehydration and a palpably enlarged and painful spleen. The CBC presented slight neutropenia. Blood chemistry analysis revealed only a moderately elevated amylase.

Sonographic Differential Diagnosis

Intestinal foreign body. Gastroenteritis. Irregular splenic position.

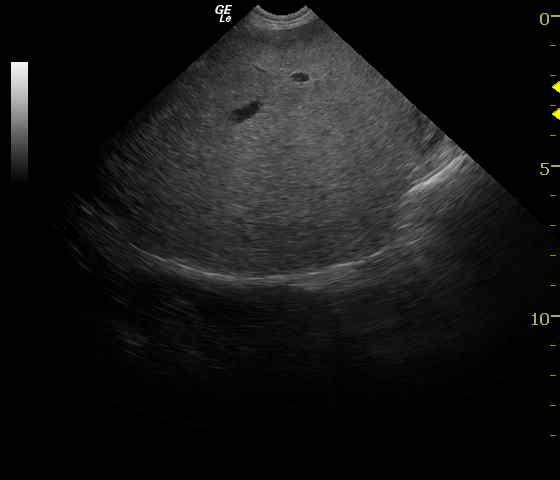
Image Interpretation

The small intestine presented a shadowing luminal structure consistent with foreign body. Some bunching of small intestine was present with considerable artifact (Video 1). Gastric stasis was present but minimal. The remainder of the intestinal tract appeared edematous most consistent with enteritis. Hyper-peristaltic and dilated small intestine is present with concurrent empty small intestine consistent with an obstructive pattern (Video 2). The spleen was inverted in position and rotated consistent with partial splenic torsion. Vascular congestion was evident (Video 3).

DX

Intestinal foreign body

Outcome

The patient recovered after 3 days of hospitalization and was thriving 20 days post diagnosis.

Comments

See our research from ECVIM 2009 regarding the sonographic criteria for gastrointestinal obstruction in dogs (http://www.sonopath.com/sites/default/files/downloads/Abstract_Highlight_01.pdf). 

Clinical Differential Diagnosis

Pancreatitis, gastroenteritis, foreign body, infectious/tick borne disease, splenitis, splenic torsion, breed associated hypersplenism, neoplasia, toxin.

Sampling

Exploratory surgery revealed a thickened, irregular spleen with no evidence of rupture. Splenectomy was performed. Histopathology of the spleen revealed extensive areas of hemorrhage and hematoma formation, hemosiderosis, extramedullary hematopoiesis, and siderotic capsular plaques. In the intestines, a string foreign body was found and removed, with concurrent resection and anastomosis of small intestine. Histopathology revealed acute on chronic inflammatory bowel.

Patient Information

Patient Name : Angel G
Gender : Male, Neutered
Species : Canine
Type of Imaging : Ultrasound
Status : Complete
Liz Wuz Here : Yes
Code : 04_00136

Clinical Signs

  • Anorexia
  • Vomiting

Exam Finding

  • Abdominal Pain
  • Dehydration
  • Splenomegaly

Images

angel_splee_01202010085205AngelGriffelgastricfb_06042011021045

Blood Chemistry

  • Amylase, High

CBC

  • Neutrophils, Low

Clinical Signs

  • Anorexia
  • Vomiting