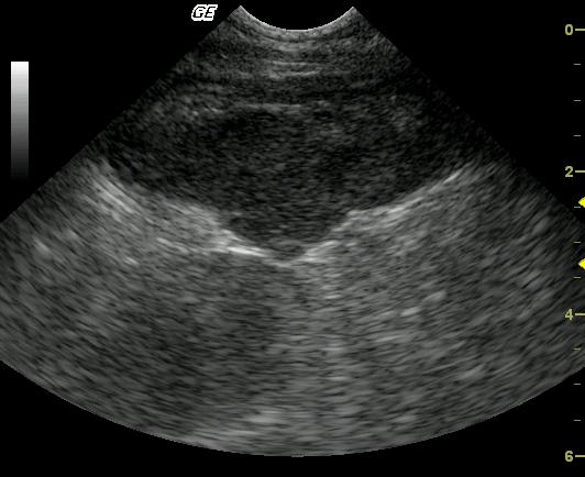
This 3-year-old MN DSH was presented for weight loss. The physical exam revealed hypothermia and palpably enlarged kidneys. A CBC and blood chemistry profile demonstrated severe azotemia that decreased after fluid therapy. Moderate anemia was also present.
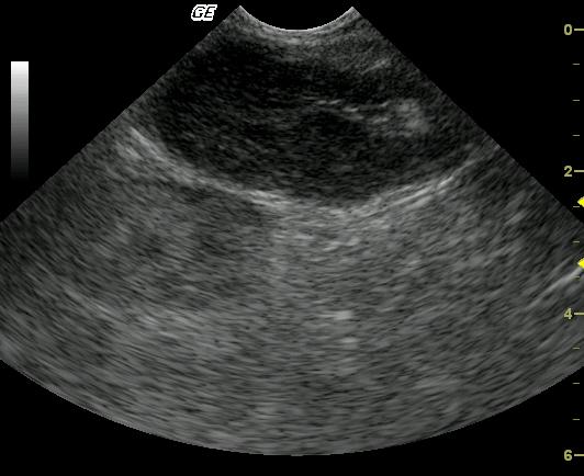
This 3-year-old MN DSH was presented for weight loss. The physical exam revealed hypothermia and palpably enlarged kidneys. A CBC and blood chemistry profile demonstrated severe azotemia that decreased after fluid therapy. Moderate anemia was also present.


