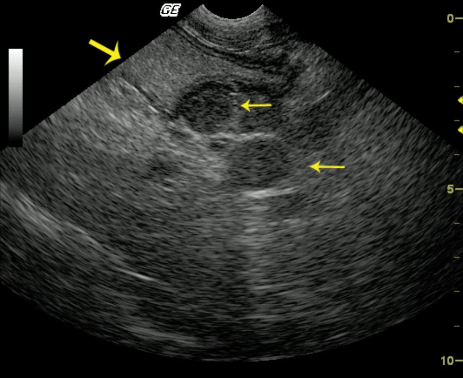
This 10-year-old FS Doberman Pinscher presented for anorexia and weight loss. The physical exam was unremarkable other than mild dehydration and mild cachexia. CBC and blood chemistry analysis demonstrated mild regenerative anemia, moderate leukocytosis with a left shift, mild hypoalbuminemia and hypomagnesemia. The radiographs demonstrate mild ascites with poor organ detail.
This 10-year-old FS Doberman Pinscher presented for anorexia and weight loss. The physical exam was unremarkable other than mild dehydration and mild cachexia. CBC and blood chemistry analysis demonstrated mild regenerative anemia, moderate leukocytosis with a left shift, mild hypoalbuminemia and hypomagnesemia. The radiographs demonstrate mild ascites with poor organ detail.

