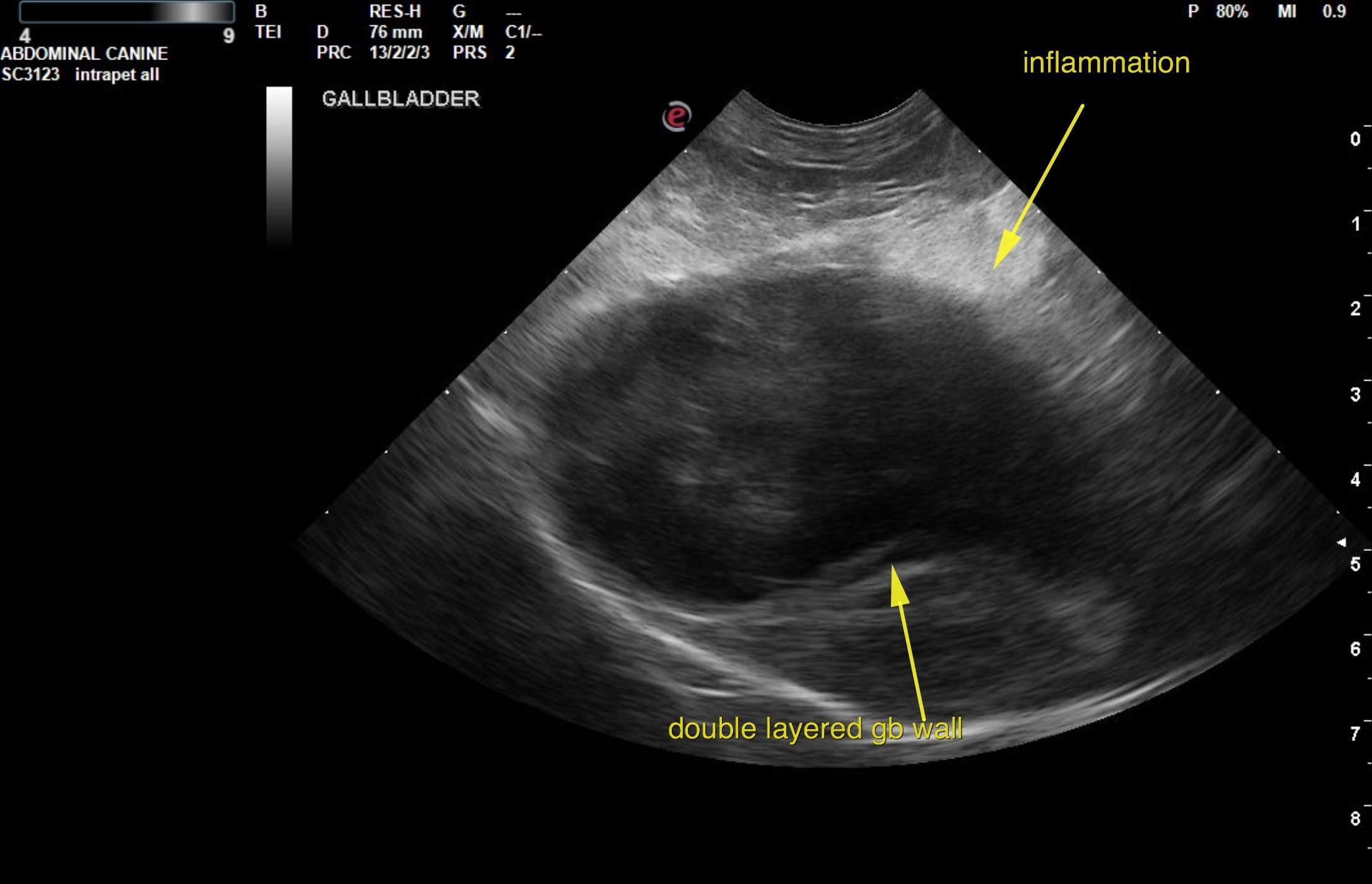
This 10 year old M ShihTzu dog started vomiting 4 days ago and has progressed in frequency. Lethargic.
Chem: ALKP 367, ALT>1000, GGT 24, elevated LE
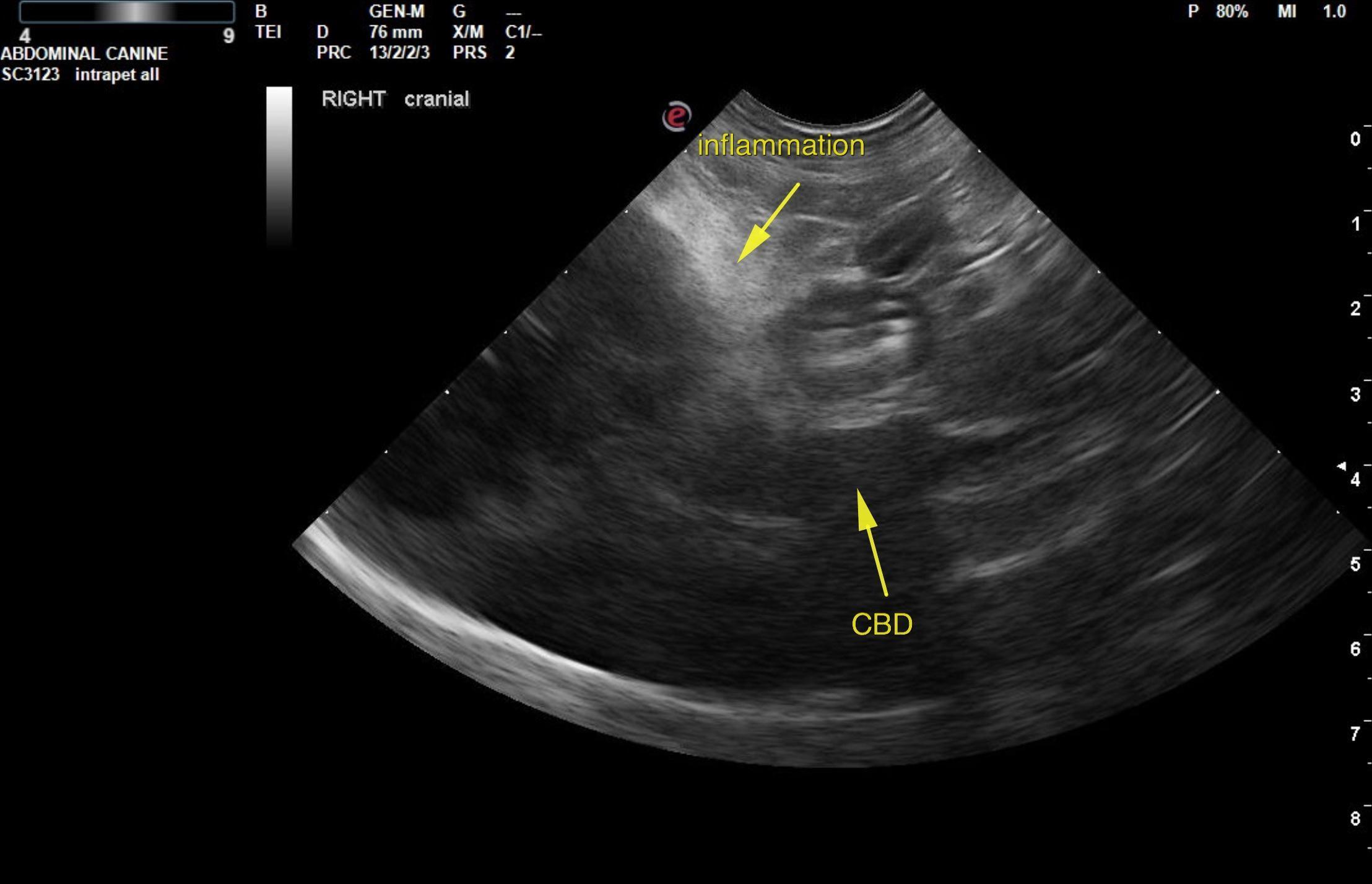
This 10 year old M ShihTzu dog started vomiting 4 days ago and has progressed in frequency. Lethargic.
Chem: ALKP 367, ALT>1000, GGT 24, elevated LE


