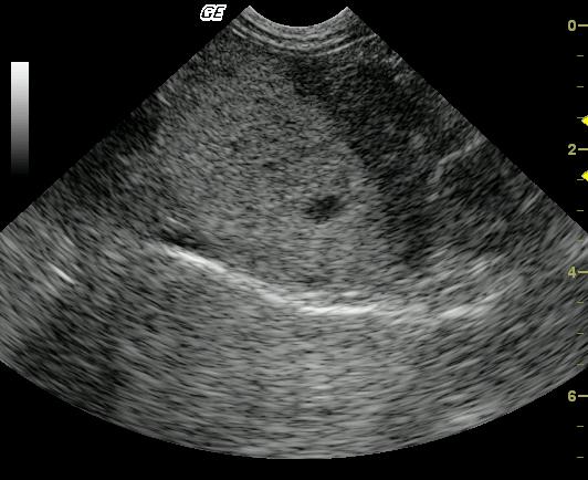
A 9-year-old FS DLH cat was presented with anorexia. Physical examination revealed mild dehydration and poor body condition. Mildly elevated SAP and mildly elevated ALT were found in the blood chemistry profile. Urinalysis was unremarkable.
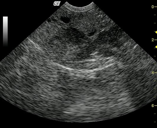
A 9-year-old FS DLH cat was presented with anorexia. Physical examination revealed mild dehydration and poor body condition. Mildly elevated SAP and mildly elevated ALT were found in the blood chemistry profile. Urinalysis was unremarkable.

