A 9-year-old MN DSH was presented for evaluation of lethargy, inappetence, and diarrhea. On physical examination, moderate dental tartar, poor body condition (BCS 2/5) and a dull unkempt hair coat was evident. On urinalysis moderate leukosuria, mild hematuria, and normal SG with moderate leukocytes, 2+ protein, 6.5 pH, urine specific gravity 1.035 with a small amount of blood. Abnormalities on CBC and serum biochemistry were neutrophilia with toxic changes, hyperglycemia, hyperglobulinemia, elevated fPL, and low folate and low B12. Negative FeLV, negative FIV, and negative heartworm assay.
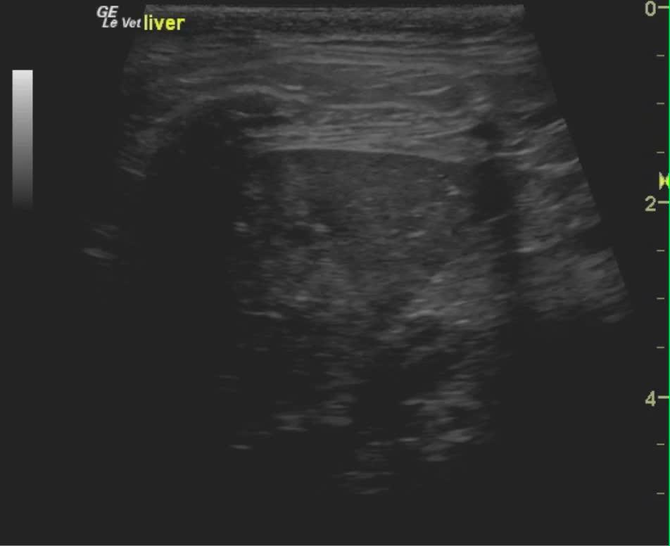
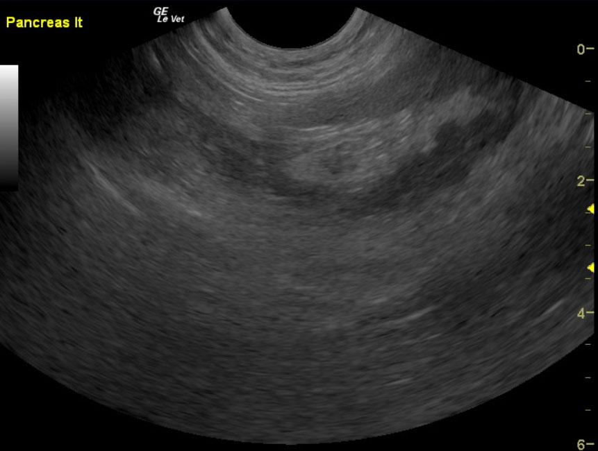
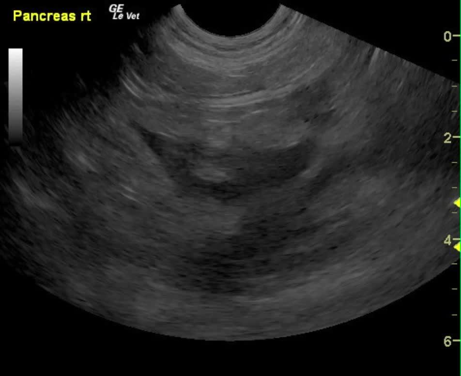
A 9-year-old MN DSH was presented for evaluation of lethargy, inappetence, and diarrhea. On physical examination, moderate dental tartar, poor body condition (BCS 2/5) and a dull unkempt hair coat was evident. On urinalysis moderate leukosuria, mild hematuria, and normal SG with moderate leukocytes, 2+ protein, 6.5 pH, urine specific gravity 1.035 with a small amount of blood. Abnormalities on CBC and serum biochemistry were neutrophilia with toxic changes, hyperglycemia, hyperglobulinemia, elevated fPL, and low folate and low B12. Negative FeLV, negative FIV, and negative heartworm assay. On survey radiographs mild hepatomegaly was evident.



