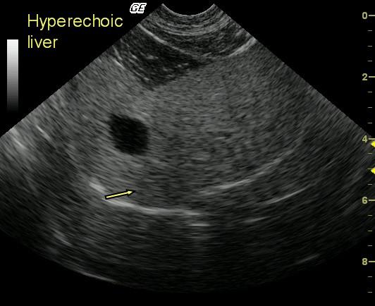
This 10 year old FS DLH cat presented for lethargy and anorexia. Physical examination revealed mild dehydration, poor coat quality, and mild jaundice. Blood analysis revealed moderately elevated SAP and moderately elevated total bilirubin.
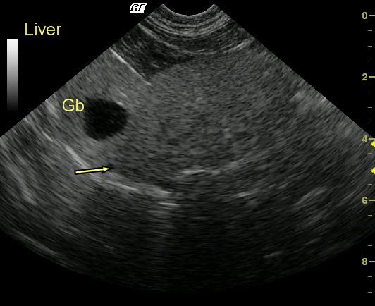
This 10 year old FS DLH cat presented for lethargy and anorexia. Physical examination revealed mild dehydration, poor coat quality, and mild jaundice. Blood analysis revealed moderately elevated SAP and moderately elevated total bilirubin.

