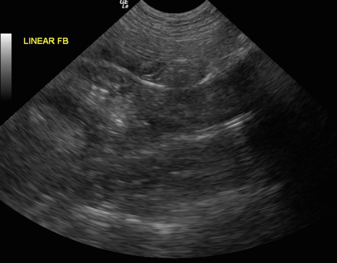
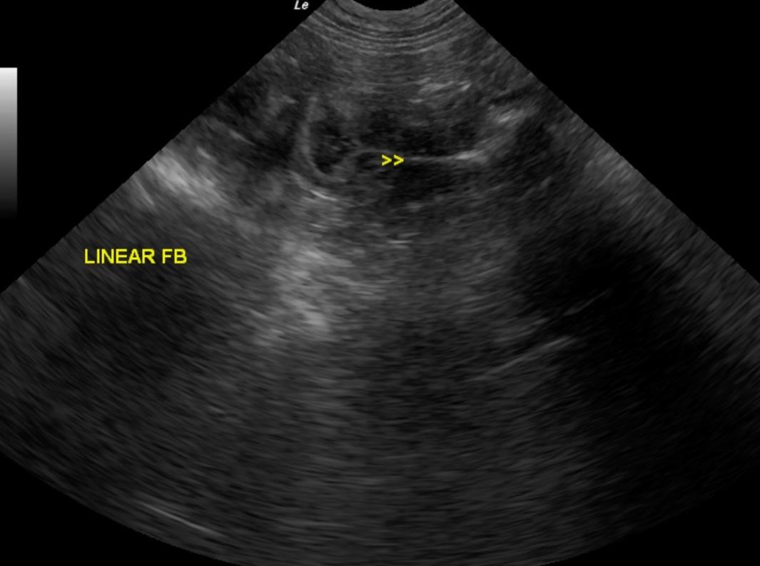
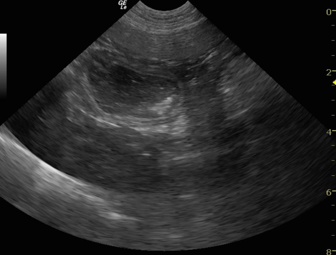
An 8-month old MN Cockapoo dog was presented with a history of vomiting, diarrhea, anorexia, lethargy, and painful abdomen. Leukocytosis was present on CBC, whereas serum biochemistry panel was within normal limits.
An 8-month old MN Cockapoo dog was presented with a history of vomiting, diarrhea, anorexia, lethargy, and painful abdomen. Leukocytosis was present on CBC, whereas serum biochemistry panel was within normal limits.


