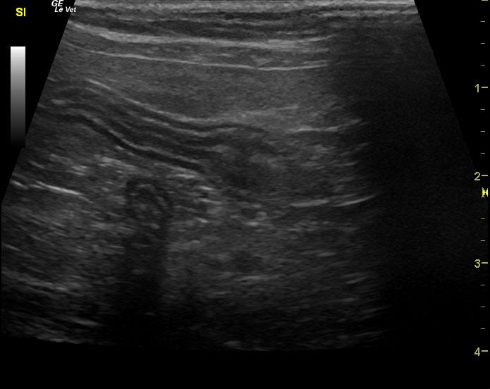
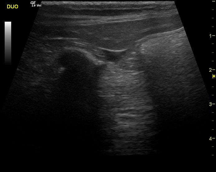
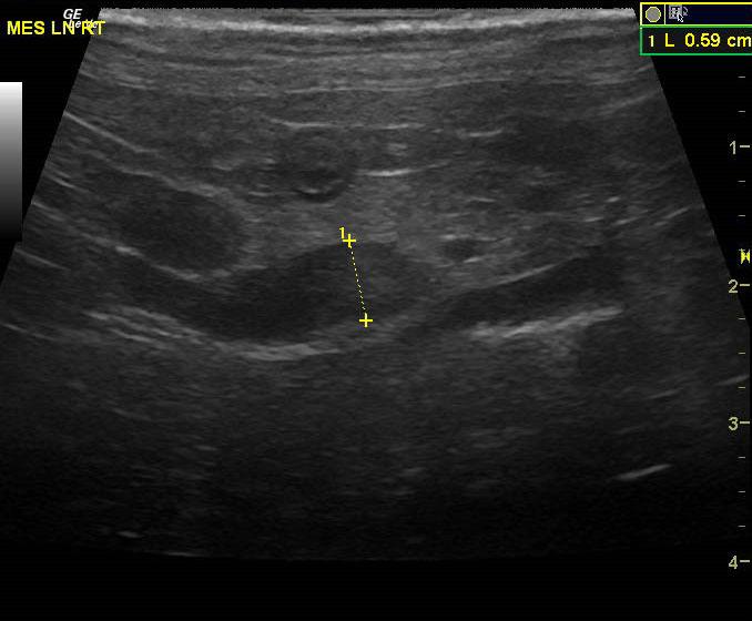
An 18-year-old MN DMH was presented for evaluation of intermittent vomiting and anorexia. A possible abdominal mass was present on abdominal palpation. 1+ calcium oxalate crystals were present on urinalysis. Abnormalities on CBC and serum biochemistry were leukocytosis and hypoproteinemia. T4 was within normal range. Radiographs were within normal limits
An 18-year-old MN DMH was presented for evaluation of intermittent vomiting and anorexia. A possible abdominal mass was present on abdominal palpation. 1+ calcium oxalate crystals were present on urinalysis. Abnormalities on CBC and serum biochemistry were leukocytosis and hypoproteinemia. T4 was within normal range. Radiographs were within normal limits



