Gastric Dilatation Volvulus 7 Year Old M German Shepherd dog

Case Study

Gastric Dilatation Volvulus 7 Year Old M German Shepherd dog

A 7-year-old M German Shepherd dog was presented for acute anorexia and swollen abdomen.

A 7-year-old M German Shepherd dog was presented for acute anorexia and swollen abdomen.

Sonographic Differential Diagnosis

Gastric Dilatation Volvulus.

Image Interpretation

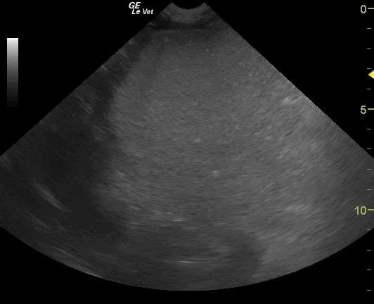
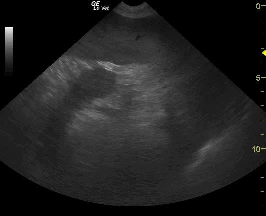
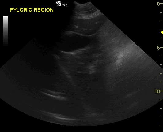
Severe gastric air artifact is noted when imaging the stomach. The normal pylorus is not visible from the right 11-13 intercostal approach suggestive for pyloric displacement. Splenic congestion and splenomegaly is present.

DX

Gastric dilatation volvulus

Outcome

The patient recovered uneventfully.

Clinical Differential Diagnosis

Bloat/torsion, gastric foreign body, neoplasia, peritonitis, organ rupture.

Sampling

GDV confirmed at the time of surgery. Splenectomy was performed and congestion and venous thrombosis was found.

Patient Information

Patient Name : Spike I
Gender : Male, Intact
Species : Canine
Type of Imaging : Ultrasound
Status : Complete
Liz Wuz Here : Yes
Code : 04_00332

Clinical Signs

  • Abdominal Distension
  • Anorexia

Images

vlcsnap-2012-10-30-13h45m14s212_10302012014807vlcsnap-2012-10-30-13h46m41s72_10302012014842vlcsnap-2012-10-30-13h46m12s65_10302012014826

Clinical Signs

  • Abdominal Distension
  • Anorexia