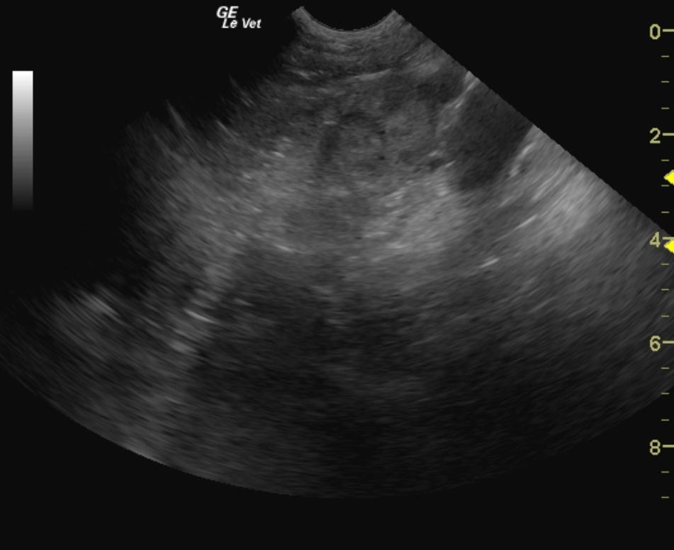
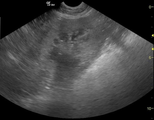
A 9 year old FS Labrador was presented for anorexia. Previous laboratory work had shown an inappropriate urine SG, 3+ proteinuria, microalbuminuria, azotemia, thrombocytosis, and negative 4Dx. The only significant abnormality on physical examination was dehydration. Baseline androstenedione and estradiol were elevated and ACTH stimulation revealed elevated cortisol, elevated estradiol, and elevated progesterone.
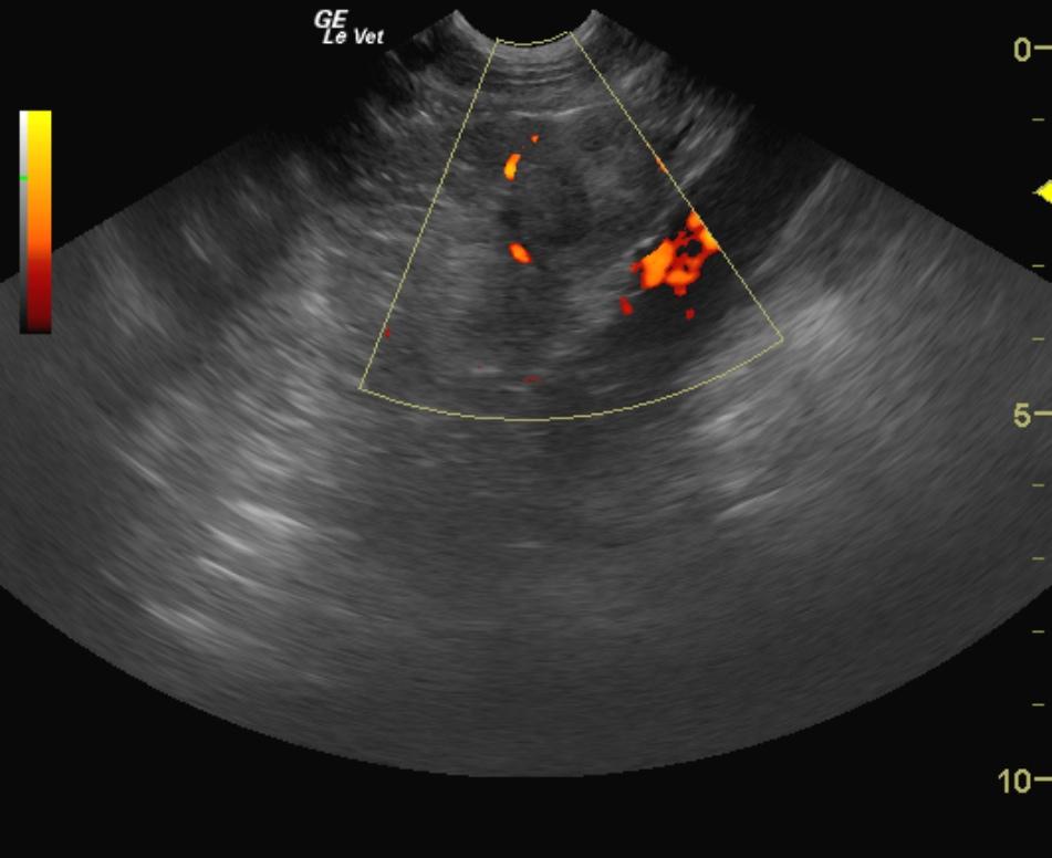
A 9 year old FS Labrador was presented for anorexia. Previous laboratory work had shown an inappropriate urine SG, 3+ proteinuria, microalbuminuria, azotemia, thrombocytosis, and negative 4Dx. The only significant abnormality on physical examination was dehydration. Baseline androstenedione and estradiol were elevated and ACTH stimulation revealed elevated cortisol, elevated estradiol, and elevated progesterone.



