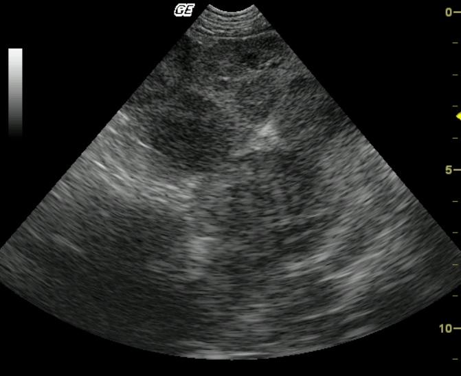
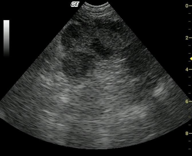
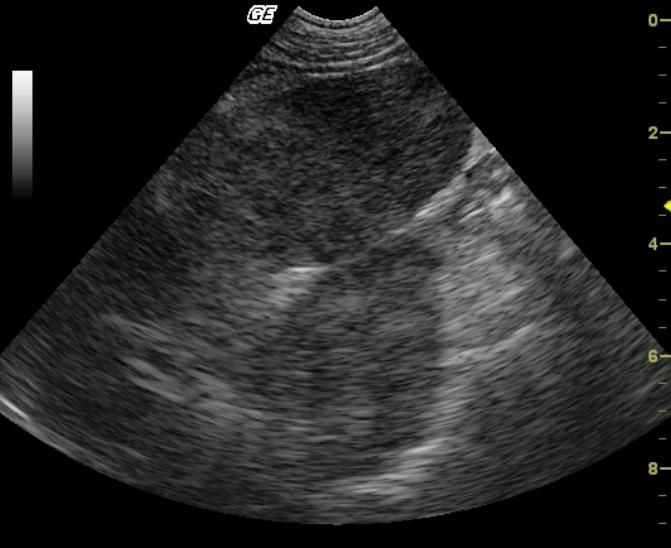
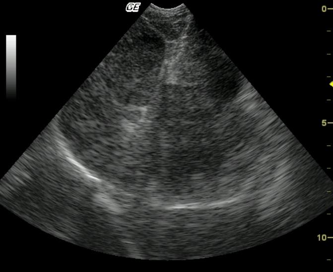
A 10 year old MN Pug was presented for the evaluation of anorexia, vomiting, diarrhea, and pollakuria. No abnormalities were noted on the physical exam. The CBC showed a neutrophilia, monocytosis, and thrombocytopenia. A serum biochemical profile revealed elevated serum alkaline phosphatase, elevated ALT, elevated AST, elevated GGT enzyme activities as well as hypercholesterolemia.
A 10 year old MN Pug was presented for the evaluation of anorexia, vomiting, diarrhea, and pollakuria. No abnormalities were noted on the physical exam. The CBC showed a neutrophilia, monocytosis, and thrombocytopenia. A serum biochemical profile revealed elevated serum alkaline phosphatase, elevated ALT, elevated AST, elevated GGT enzyme activities as well as hypercholesterolemia.




