Fibrosarcoma, liver and spleen in a 10 year old MN Pug dog

Case Study

Fibrosarcoma, liver and spleen in a 10 year old MN Pug dog

A 10-year-old MN Pug dog was presented for the evaluation of anorexia, vomiting, diarrhea, and pollakuria. No abnormalities were noted on the physical exam. The CBC showed a neutrophilia, monocytosis, and thrombocytopenia. A serum biochemical profile revealed elevated serum alkaline phosphatase, ALT, AST, GGT enzyme activities as well as hypercholesterolemia.

A 10-year-old MN Pug dog was presented for the evaluation of anorexia, vomiting, diarrhea, and pollakuria. No abnormalities were noted on the physical exam. The CBC showed a neutrophilia, monocytosis, and thrombocytopenia. A serum biochemical profile revealed elevated serum alkaline phosphatase, ALT, AST, GGT enzyme activities as well as hypercholesterolemia.

Sonographic Differential Diagnosis

Infiltrative and sclerosing splenic and hepatic pathology, likely neoplastic. Minor potential for aggressive inflammatory disease.

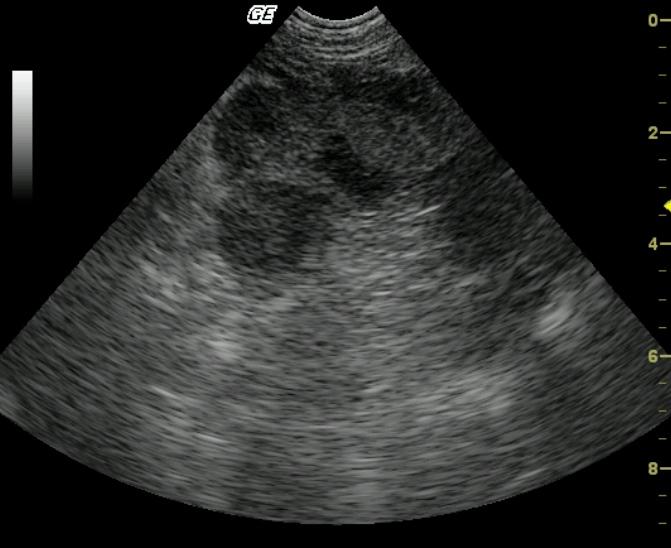
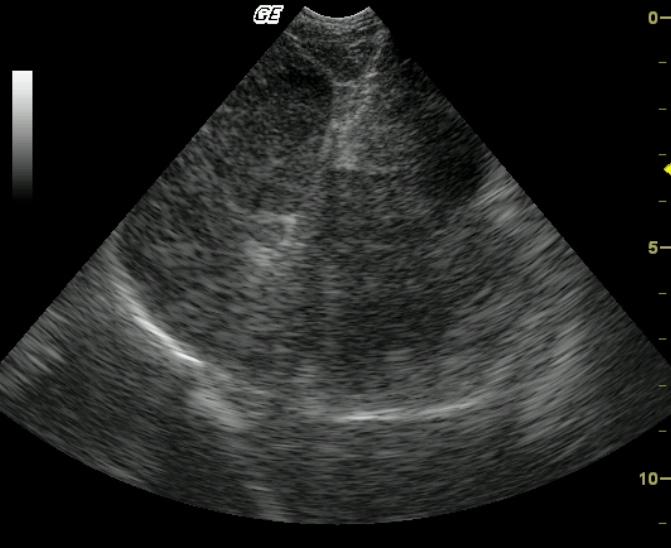
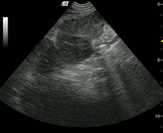
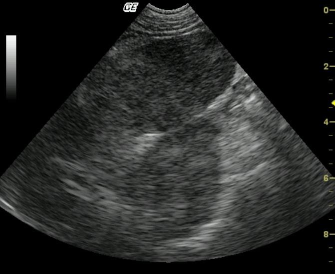
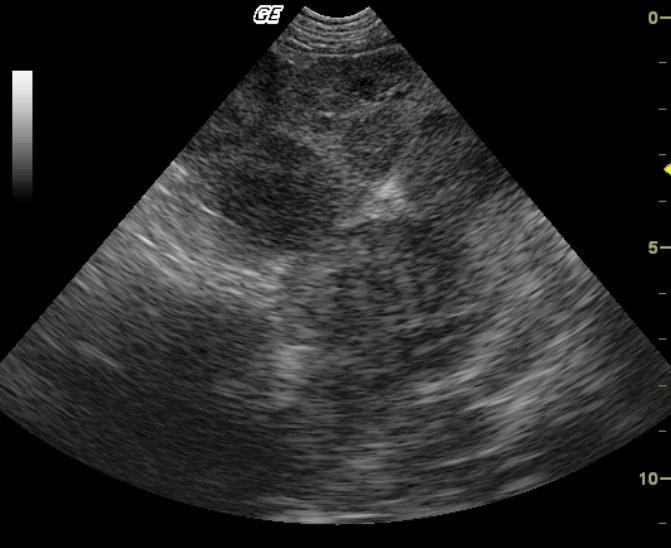
Image Interpretation

Coarse architecture is noted in both the spleen and liver with irregular capsular contour, echogenic and irregular tissue striations with nodular changes. This universal deviation from parenchymal architecture in both organs suggests a neoplastic process in both liver and spleen. The linear echogenic focus in the near field is a core biopsy needle.

DX

Fibrosarcoma, liver and spleen

Outcome

Chemotherapy was declined by owner. The patient was humanly euthanized shortly after the diagnosis was made.

Comments

No video is available on this patient.

Clinical Differential Diagnosis

Cholangitis with a possible mucocele (+/- rupture of the mucocele with a possible bile peritonitis.) Hepatitis – acute suppurative, infectious (leptospirosis, toxoplasmosis), immune-mediated. Pancreatitis with secondary cholestasis and/or hepatitis . Neoplasia (primary vs. metastatic; hepatocellular adenoma, lymphoma, carcinoma, leiomyoma, leiomyosarcoma, mast cell tumor, histiocytic sarcoma, etc.)

Sampling

Ultrasound guided FNAs of the liver and spleen were non-diagnostic. Ultrasound guided Tru-cut® biopsies of both liver and spleen revealed fibrosarcoma of the liver and spleen.

Patient Information

Patient Name : Sam G
Gender : Male, Neutered
Species : Canine
Type of Imaging : Ultrasound
Status : Complete
Liz Wuz Here : Yes
Code : 03_00151

Clinical Signs

  • Anorexia
  • Diarrhea
  • Pollakiuria
  • Vomiting

Images

FibrosarcomaFibrosarcomaFibrosarcomaFibrosarcomaFibrosarcomaFNA

Blood Chemistry

  • Alkaline Phosphatase (SAP), High
  • ALT (SGPT), High
  • AST (SGOT), High
  • Cholesterol, High
  • GGT High

CBC

  • Basophils, High
  • Monocytes, High
  • Neutrophils, High
  • Platelet Count, Low

Clinical Signs

  • Anorexia
  • Diarrhea
  • Pollakiuria
  • Vomiting

Special Testing

  • Anaplasma Positive