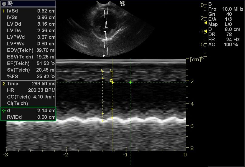
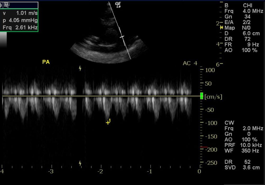
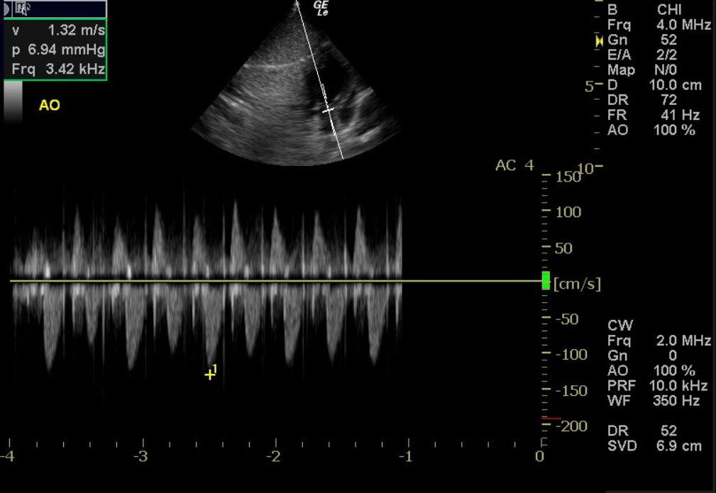
A one month old sheltie cross dog with a history of 5 of 7 littermates dying from parvovirus was presented for lethargy, and diarrhea. Parvovirus was identified in a littermate’s myocardium at necropsy.
A one month old sheltie cross dog with a history of 5 of 7 littermates dying from parvovirus was presented for lethargy, and diarrhea. Parvovirus was identified in a littermate’s myocardium at necropsy.


