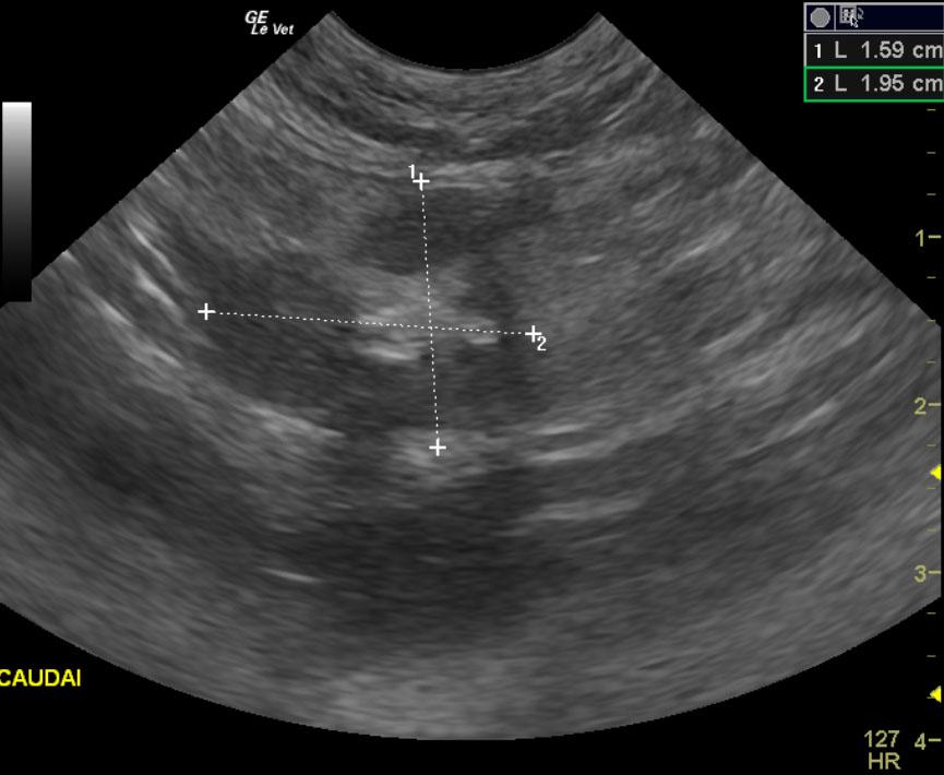
The patient is a feline DSH, MN, 8 year old. Concern for abdominal tumor due to decrease in appetite. Blood work is wnl. Urine specific gravity 1.045.
The patient is a feline DSH, MN, 8 year old. Concern for abdominal tumor due to decrease in appetite. Blood work is wnl. Urine specific gravity 1.045.



