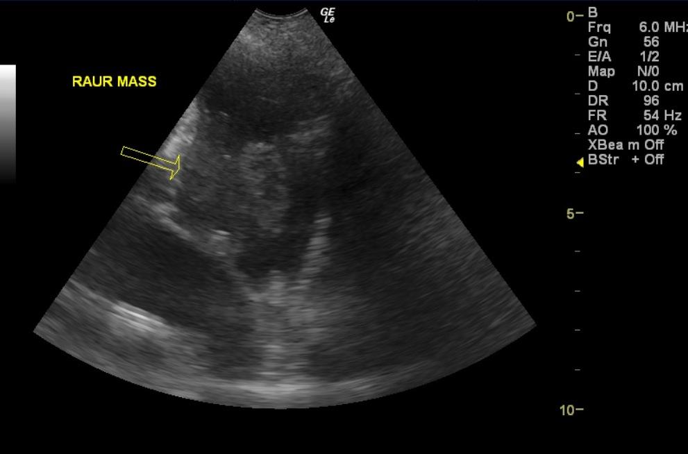
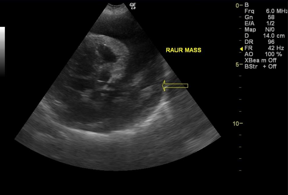
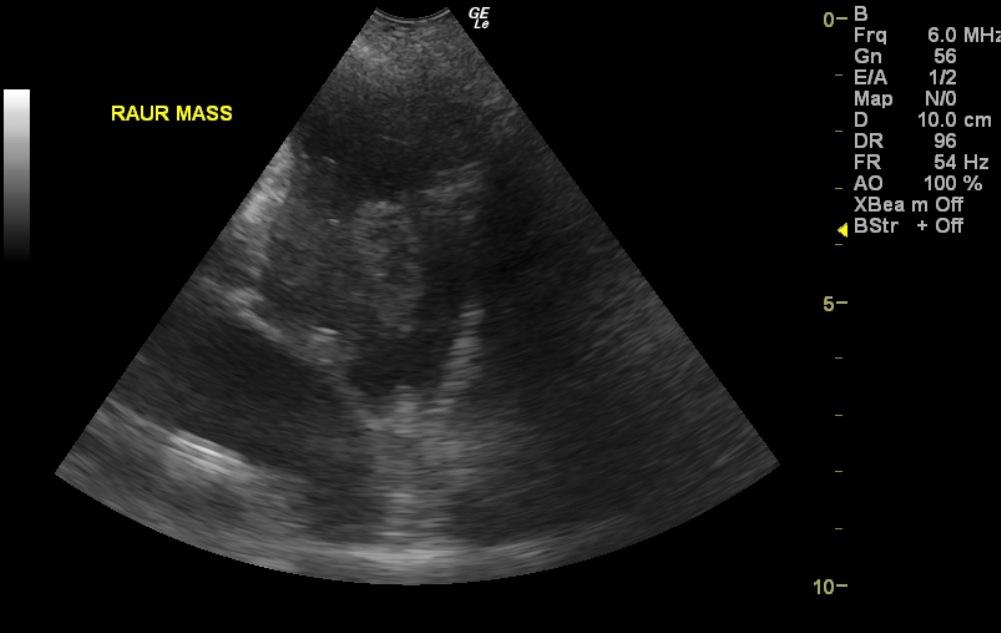
A 10-year-old SF Rottweiler cross was presented with a history of lethargy and not doing right. On physical examination depression and polypnea was evident. Abnormalities on serum biochemistry were elevated liver enzyme activity. Cardiomegaly was present on survey radiographs. Blood pressure was normal (140).
A 10-year-old SF Rottweiler cross was presented with a history of lethargy and not doing right. On physical examination depression and polypnea was evident. Abnormalities on serum biochemistry were elevated liver enzyme activity. Cardiomegaly was present on survey radiographs. Blood pressure was normal (140).



