A 9-year-old intact female Brittany Spaniel dog, with previous history of cystotomy, was presented on emergency at a 24-hour facility for vomiting, shaking, painful abdomen, and extreme lethargy. Physical examination found the patient whining and crying, depressed, with tacky mucous membranes, and a firm distended abdomen. The patient was ambulatory but was most comfortable in sternal recumbency. Abnormalities on CBC and blood chemistry included leukocytosis, increased BUN, and mild hypoalbuminemia. Coagulation panel was within normal range.
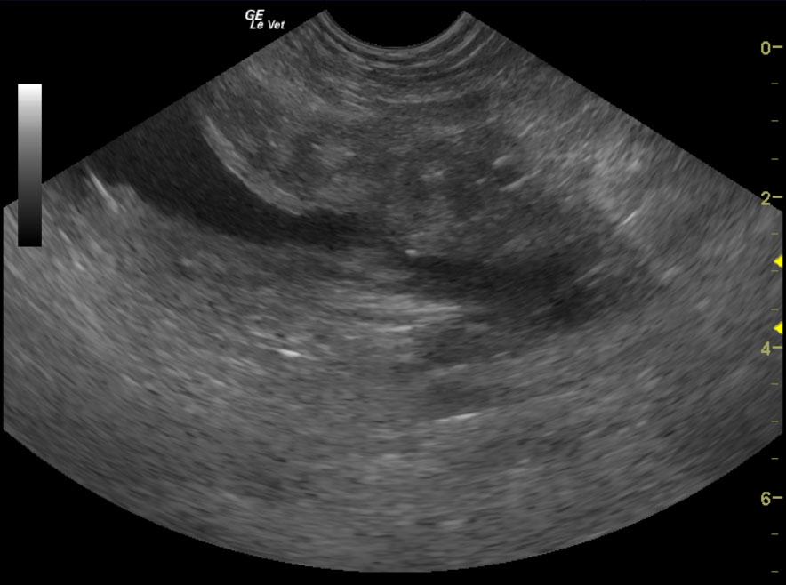
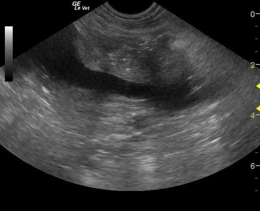
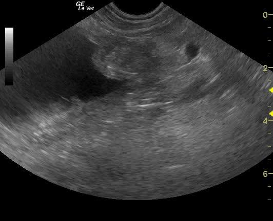
A 9-year-old intact female Brittany Spaniel dog, with previous history of cystotomy, was presented on emergency at a 24-hour facility for vomiting, shaking, painful abdomen, and extreme lethargy. Physical examination found the patient whining and crying, depressed, with tacky mucous membranes, and a firm distended abdomen. The patient was ambulatory but was most comfortable in sternal recumbency. Abnormalities on CBC and blood chemistry included leukocytosis, increased BUN, and mild hypoalbuminemia. Coagulation panel was within normal range. Survey radiographs showed generalized loss of detail (consistent with free fluid) and a linear radiodensity in the cranial abdomen. Despite being a poor surgical candidate, the patient was recommended for immediate exploratory surgery due to concern of a ruptured pyometra.



