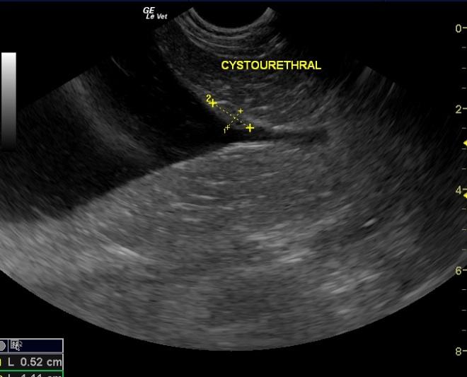
An 11-year-old FS Vizsla was presented for diarrhea, tenesmus, and stranguria for a few months. Rectal exam revealed minor thickening in the urethral region. A Canine diarrhea panel was positive for Clostridium Perfringens Enterotoxin A.
An 11-year-old FS Vizsla was presented for diarrhea, tenesmus, and stranguria for a few months. Rectal exam revealed minor thickening in the urethral region. A Canine diarrhea panel was positive for Clostridium Perfringens Enterotoxin A.

