Adrenocortical neoplasia in a 5 year old MN Ferret

Case Study

Adrenocortical neoplasia in a 5 year old MN Ferret

A 5-year-old neutered male ferret with alopecia was presented for evaluation of suspected adrenal disease.

A 5-year-old neutered male ferret with alopecia was presented for evaluation of suspected adrenal disease.

Sonographic Differential Diagnosis

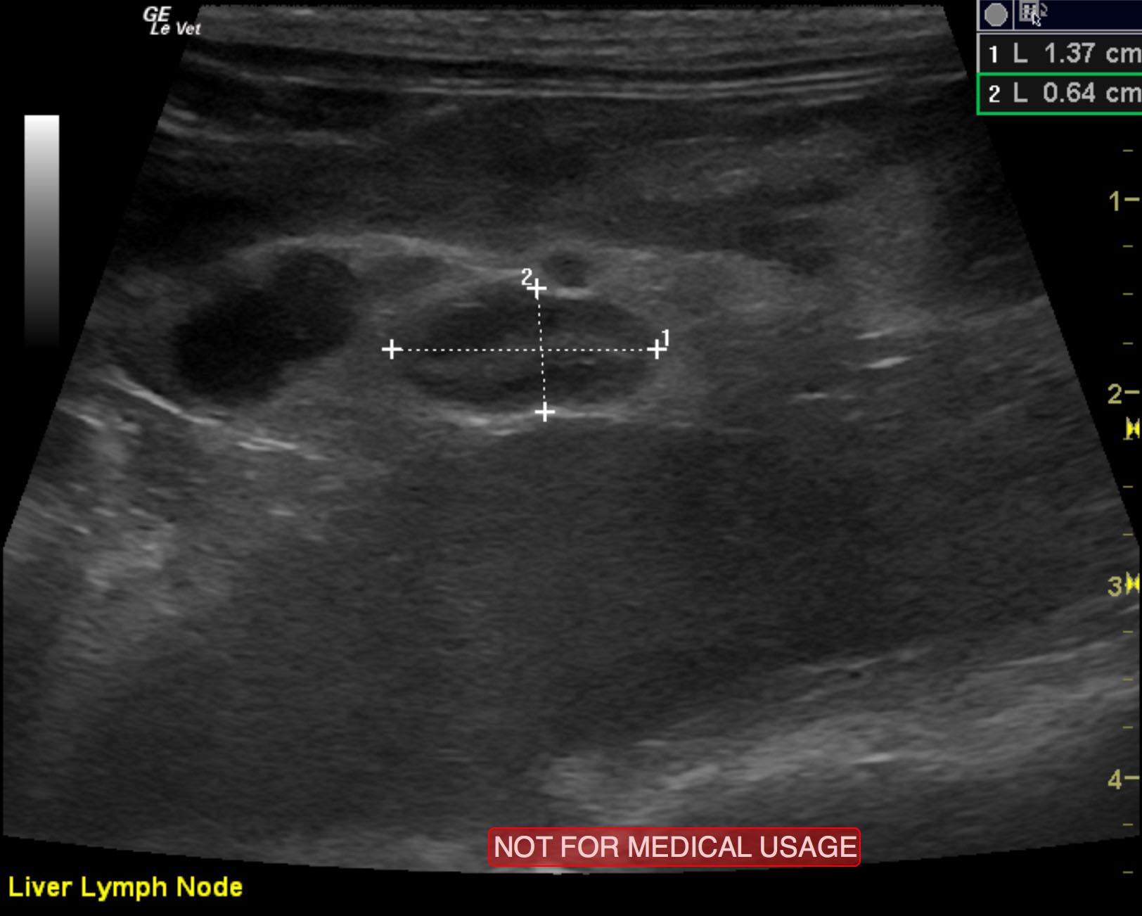
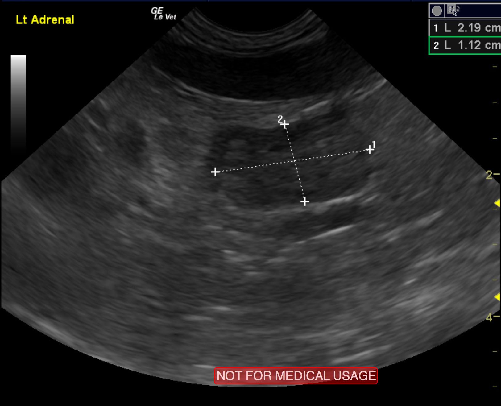
Left adrenal gland mass. Suspect carcinoma. This appears surgically resectable. Lymphadenopathy involving epigastric, splenic and portal lymph nodes. These are likely related given the contiguous pattern of associated vasculature between the spleen, gastrointestinal tract and liver in the portal system.

Image Interpretation

The left adrenal gland comprised a mass that measured 2.2 x 1.12 cm. Capsular expansion was noted at the caudal pole with pericapsular inflammatory pattern. It appeared significantly vascular with a trace amount of free fluid noted adjacent to it. This suggests a fairly aggressive process, but there was no evidence of vascular invasion noted. The right adrenal gland was uniform and measured 0.72 x 0.32 cm. Lymph node enlargement was noted in the epigastric region and measured 1.02 x 0.82 cm. A separate lymph node medial to the spleen was also enlarged, measuring 1 x 0.82 cm.

DX

Adrenocortical neoplasia

Outcome

None

Clinical Differential Diagnosis

Adrenal gland disease: adenoma, carcinoma, hyperplasia.

Sampling

Ultrasound guided FNA of the left adrenal gland was performed, and results were consistent with adrenocortical neoplasia. FNA of the lymph nodes were also performed, and cytology revealed heterogenous, lymphoid population, no evidence of metastasis.

Patient Information

Patient Name : Elvis J
Gender : Male, Neutered
Species : Exotic
Type of Imaging : Ultrasound
Status : Complete
Liz Wuz Here : Yes
Code : 07_00155

Clinical Signs

  • Alopecia

Images

elvis_jones_ferret_adrenal_neoplasia_2elvis_jones_ferret_adrenal_neoplasia_right_adrenal_normalelvis_jones_ferret_adrenal_neoplasia_hepatic_ln

Clinical Signs

  • Alopecia
Skip to content