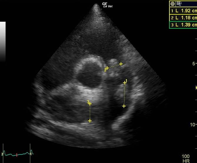
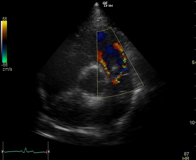
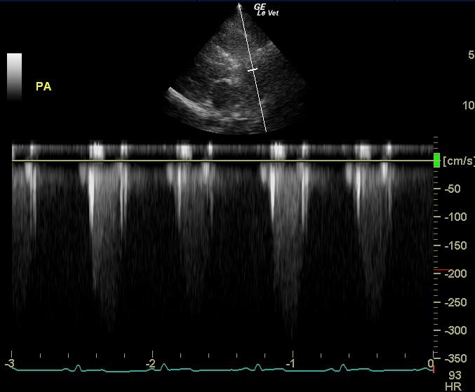
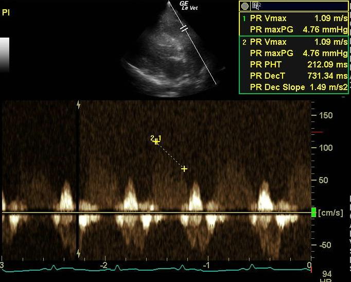
An 11-year-old MN Golden retriever was presented for evaluation due to two episodes of collapse and cyanosis. Additional history was that the patient was more lethargic than usual. Cardiac auscultation did not reveal any abnormalities and blood pressure was normal. Survey radiographs showed a mildly enlarged cardiac silhouette (VHS 11), prominent right ventricle, normal left atrial, and a normal lung pattern.
An 11-year-old MN Golden retriever was presented for evaluation due to two episodes of collapse and cyanosis. Additional history was that the patient was more lethargic than usual. Cardiac auscultation did not reveal any abnormalities and blood pressure was normal. Survey radiographs showed a mildly enlarged cardiac silhouette (VHS 11), prominent right ventricle, normal left atrial, and a normal lung pattern.




