10-00074 Honey Girl E Lung mass——-NEED SB——-

Case Study

10-00074 Honey Girl E Lung mass——-NEED SB——-

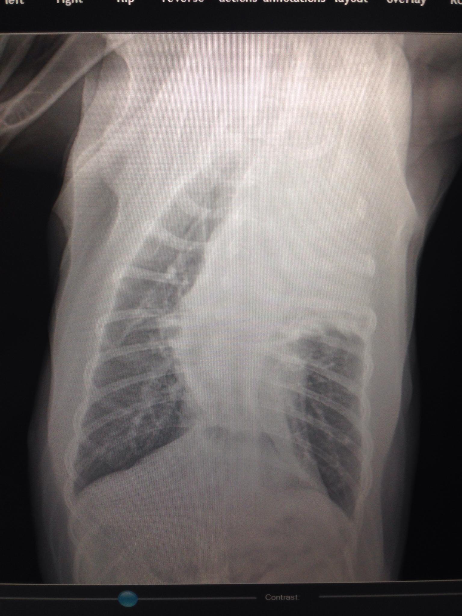
A 9-year-old SF Golden retriever was presented for evaluation of coughing and lethargy. On survey radiographs a left cranial lung mass was evident. 

A 9-year-old SF Golden retriever was presented for evaluation of coughing and lethargy. On survey radiographs a left cranial lung mass was evident. 

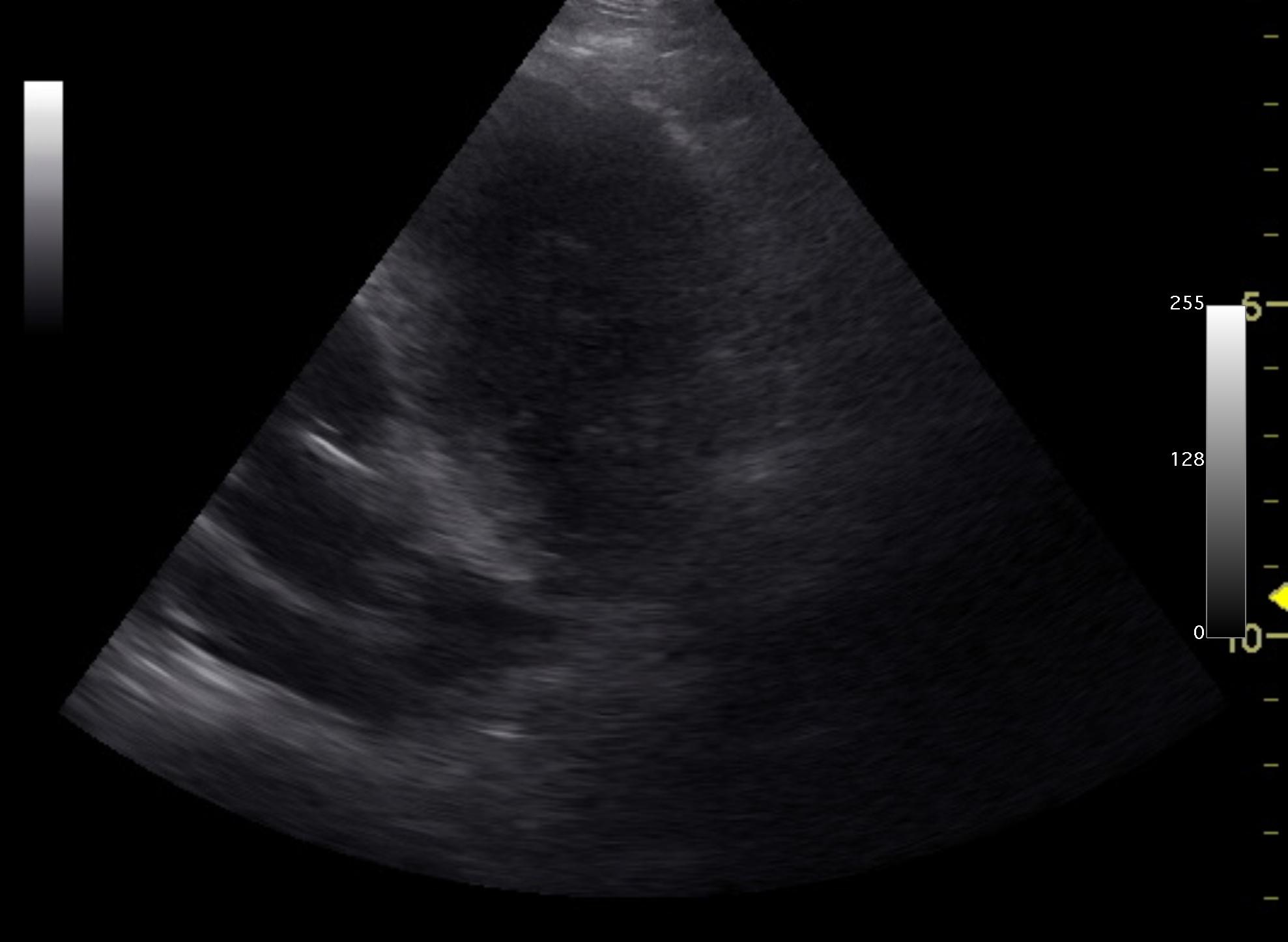
Sonographic Differential Diagnosis

Nodular and cavitated lung mass. This is strongly suggestive for sarcoma or similar neoplasia.

Image Interpretation

Left cranial lung mass was noted which was significantly hypoechoic and irregular with some cavitation. FNAs were performed without complication. Peripheral air entrapment was noted, which is indicative of lung origin. This may be resectable. CT evaluation would be ideal.

Outcome

None

Clinical Differential Diagnosis

Neoplasia (primary/metastatic), abscess, granuloma, lobe torsion

Sampling

???

Patient Information

Gender : Female, Spayed
Species : Canine
Type of Imaging : Ultrasound

Clinical Signs

  • Coughing
  • Lethargy

Images

img_6396img_6397lung_mass

Clinical Signs

  • Coughing
  • Lethargy