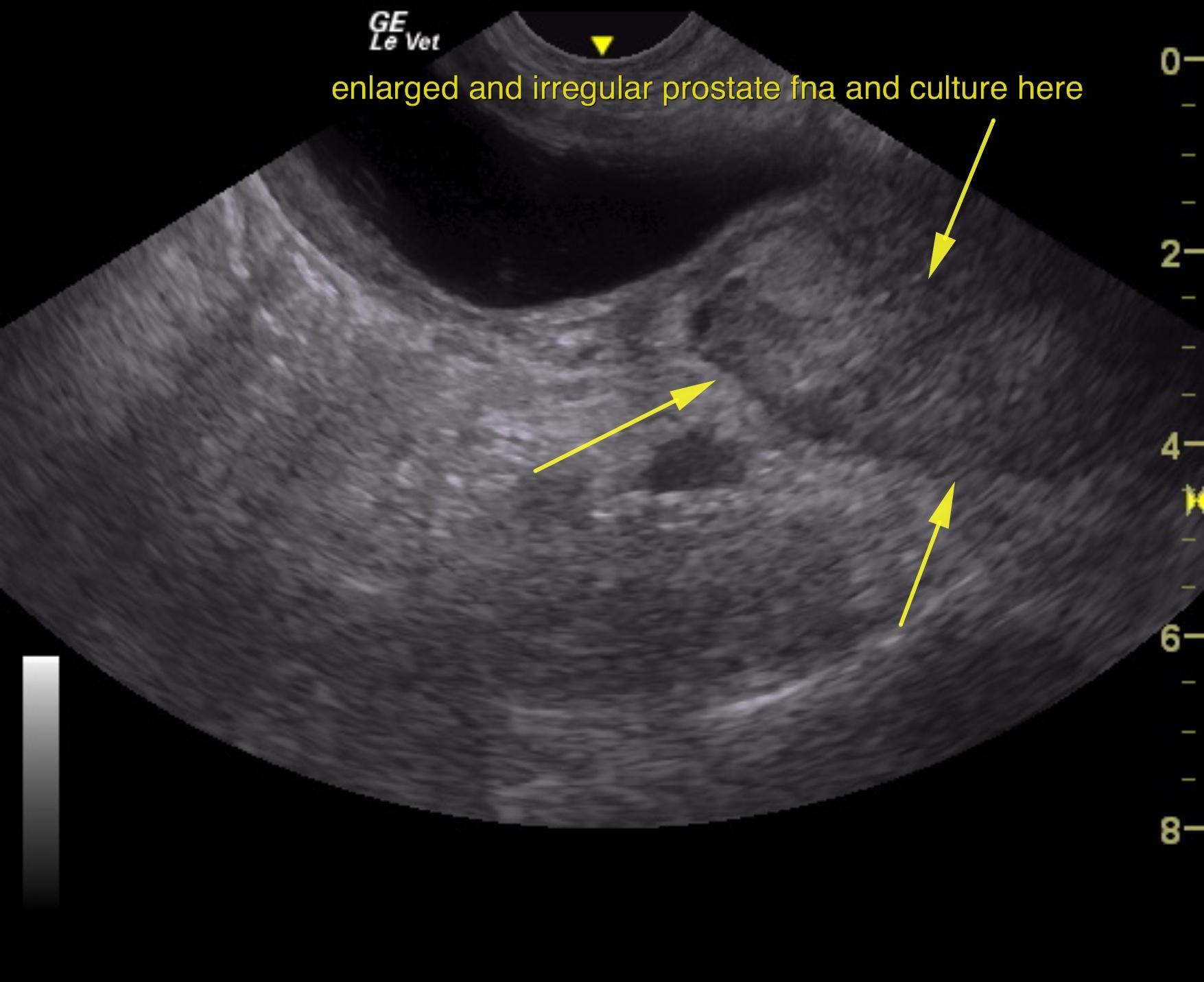
An 11-year-old NM Labrador with a history of gradual weight loss was presented for evaluation of abdominal pain and diarrhea. On abdominal palpation, the intestines were gas-filled, which was confirmed on survey radiographs. Elevated ALT activity, BUN, and glucose were present on serum biochemistry.


