09_00154 Timmy H Prostatic carcinoma

Case Study

09_00154 Timmy H Prostatic carcinoma

A 9-year-old NM Pekingese was presented for evaluation of lethargy and tenesmus. 

 

Sonographic Differential Diagnosis

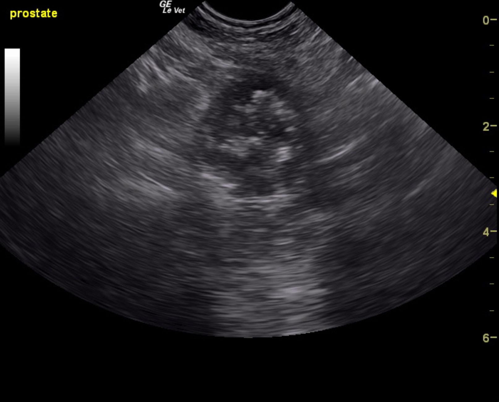
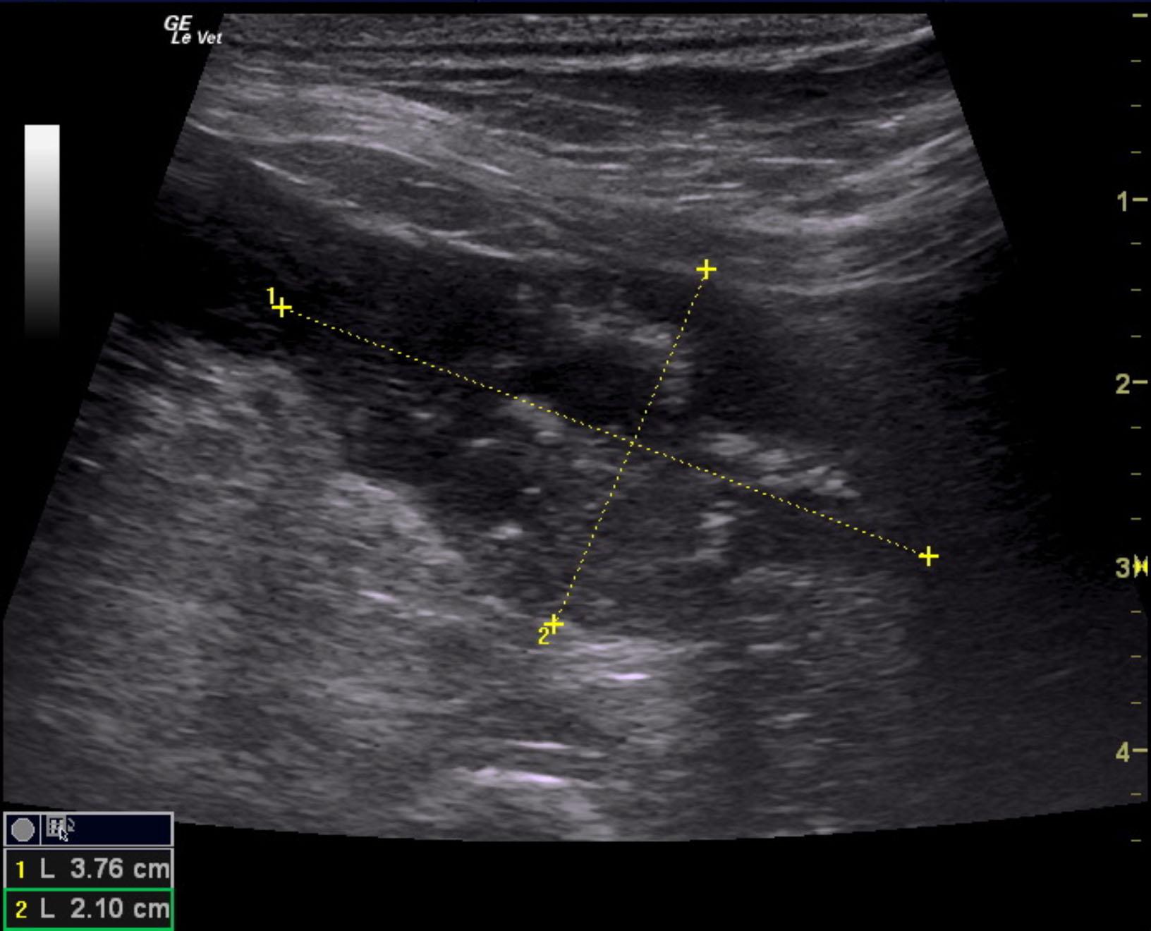
Prostatic mass, mineralizing. This is strongly suggestive for prostatic carcinoma. Ultrasound-guided FNA would be recommended for confirmation.

Image Interpretation

The prostate in this patient was enlarged with multi focal areas of mineralization. This is strongly suggestive for prostatic carcinoma. Ultrasound-guided FNA is recommended to confirm. Significant power Doppler vascularity was noted to the prostate. The prostate measured 3.76 x 2.1 cm with cauliflower projection into the cystourethral junction and invasion into the post prostatic urethra. Deviation of the descending colon was noted. This is owing to the prostatic pathology, which is responsible for the clinical signs.

DX

Prostatic carcinoma-presumed

Outcome

None

Clinical Differential Diagnosis

Colon – constipation, neoplasia, granuloma, colitis
Prostate – neoplasia, prostatitis
Pelvic canal – lymphadenomegaly, neoplasia, abscess, granuloma

Sampling

None

Patient Information

Gender : Male, Neutered
Species : Canine
Type of Imaging : Ultrasound
Status : Complete

Clinical Signs

  • Lethargy
  • Tenesmus

Images

tim3tim1

Clinical Signs

  • Lethargy
  • Tenesmus