09_00151 Sebastian D Prostatic carcinoma-presumed

Case Study

09_00151 Sebastian D Prostatic carcinoma-presumed

A 7-year-old NM Beagle was presented for evaluation of urinating in house and tenesmus. Prostate mass was palpated on rectal. Urinalysis showed normal SG, hematuria, proteinuria, leukosuria, and epithelial cells.

 

Sonographic Differential Diagnosis

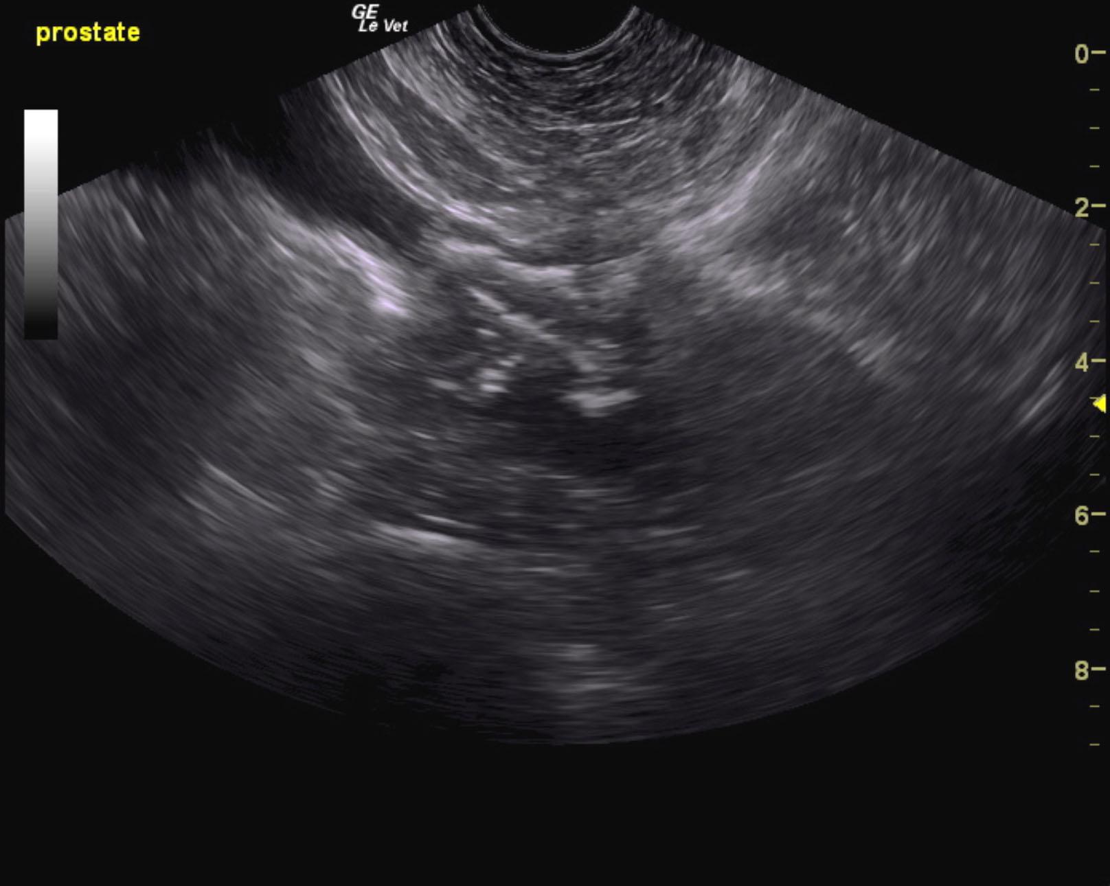
Mineralizing prostatic mass extending into the cystourethral junction.
Iliac trifurcation is free of evident pathology.
No evident metastatic disease. This is strongly suggestive for prostatic carcinoma. Ultrasound-guided FNA are recommended for confirmation. Referral for stent placement at Animal Medical Center with Dr. Weisse and Dr. Berent would be ideal in this case.

Image Interpretation

The prostate in this patient revealed a mixed, hypoechoic and multifocally mineralizing mass that measured 2.5 cm. Ultrasound-guided FNA or traumatic catheterization is recommended for confirmation. Pericapsular inflammatory pattern was noted around the prostate with proliferative tissue noted cranial to the point of the cystourethral junction.

DX

Prostatic carcinoma-presumed

Outcome

None

Clinical Differential Diagnosis

Prostate – neoplasia, abscess, granuloma

Sampling

None

Patient Information

Gender : Male, Neutered
Species : Canine
Type of Imaging : Ultrasound
Status : Complete

Clinical Signs

  • Inappropriate Urination
  • Tenesmus

Exam Finding

  • Palpable mass
  • Prostatic enlargement

Images

sebastian_dimurro_beagle_6_yr_prostatic_carcinoma_2vlcsnap-2015-12-25-12h06m00s138

Clinical Signs

  • Inappropriate Urination
  • Tenesmus

Urinalysi

  • Blood Present
  • Epithelial Cells Present
  • Protein Present
  • WBCs Present
Skip to content