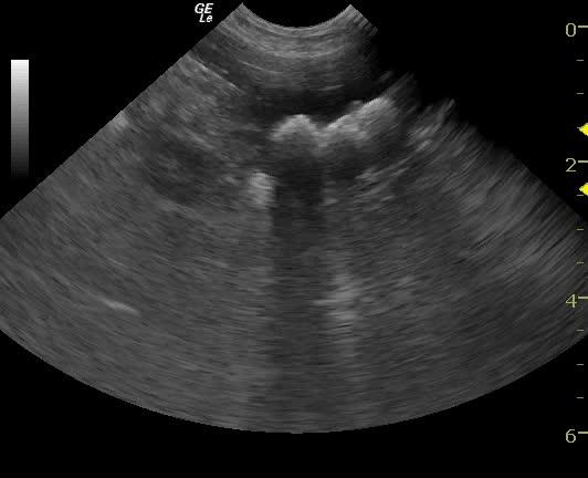
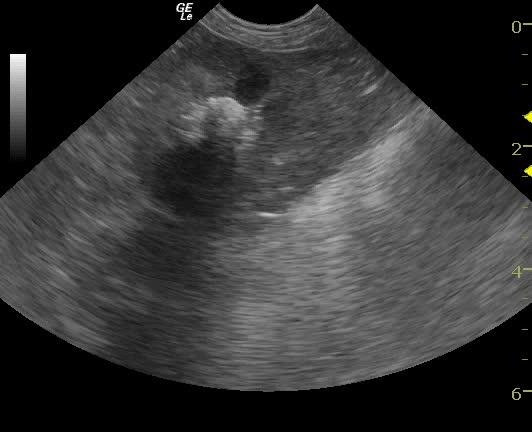
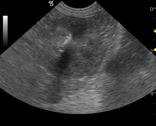
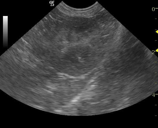
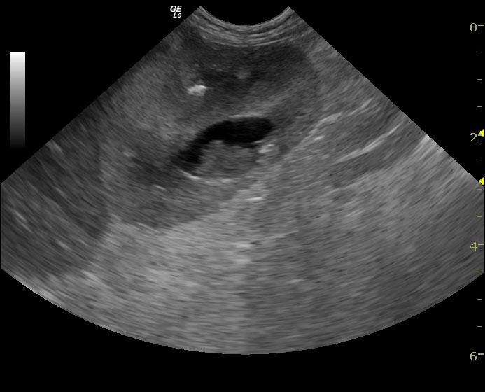
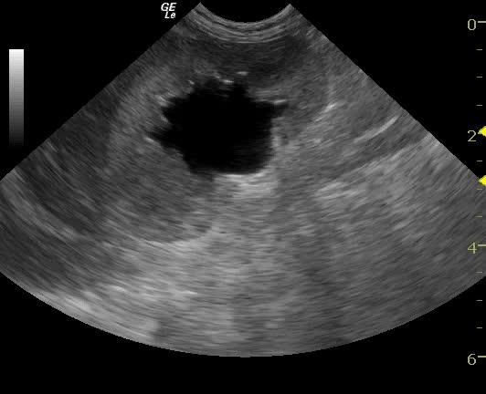
An 11-year-old SF Bichon dog was presented with a history of 3-4 days of lethargy, anorexia, and vomiting. Abnormalities on physical examination were tense abdomen, mild dehydration, and moderate dental tartar. Urinalysis (free-flow sample) showed inappropriate SG, (1.017), hematuria, and, pyuria. Abnormalities on CBC and serum biochemistry were leukocytosis, monocytosis, neutrophilia, azotemia, and hyponatremia.
An 11-year-old SF Bichon dog was presented with a history of 3-4 days of lethargy, anorexia, and vomiting. Abnormalities on physical examination were tense abdomen, mild dehydration, and moderate dental tartar. Urinalysis (free-flow sample) showed inappropriate SG, (1.017), hematuria, and, pyuria. Abnormalities on CBC and serum biochemistry were leukocytosis, monocytosis, neutrophilia, azotemia, and hyponatremia.






