The patient is a feline DSH, SF, 17 years old. Clinical exam findings: Acute onset weakness and fever on PE (105 F), client reports hyperexia and acute onset stranguria, pollakiuria. Recently increased Methimazole due to ongoing elevation in T4. Recent COHAT with extraction, mild suture reaction, no intra-oral inflammation currently. History of suspected pyelonephritis treated with 6 week course Clavamox with 2 negative cultures. Altered CBC/Chem/UA values: Today- CBC- WBC= 24 (5.5-19), Lym= 1.26 (1.5-14), Neut= 21.4 (2.5-14). Chemistry: BUN= 57 , Creatinine= 3.4 (0.3-2.1). Systemic BP WNL.
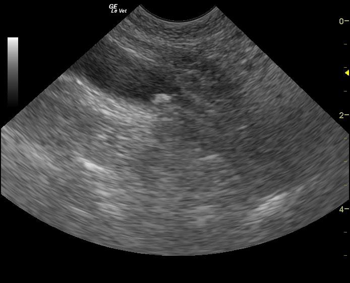
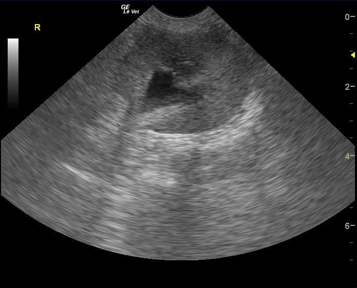
The patient is a feline DSH, SF, 17 years old. Clinical exam findings: Acute onset weakness and fever on PE (105 F), client reports hyperexia and acute onset stranguria, pollakiuria. Recently increased Methimazole due to ongoing elevation in T4. Recent COHAT with extraction, mild suture reaction, no intra-oral inflammation currently. History of suspected pyelonephritis treated with 6 week course Clavamox with 2 negative cultures. Altered CBC/Chem/UA values: Today- CBC- WBC= 24 (5.5-19), Lym= 1.26 (1.5-14), Neut= 21.4 (2.5-14). Chemistry: BUN= 57 , Creatinine= 3.4 (0.3-2.1). Systemic BP WNL. U/A- U.S.G.= 1.020, NSF, sent out for culture. B/W performed a week ago- CBC WNL (WBC= 9, Neut= 5.8), Chemistry- BUN= 42, Creatinine = 2.2.

