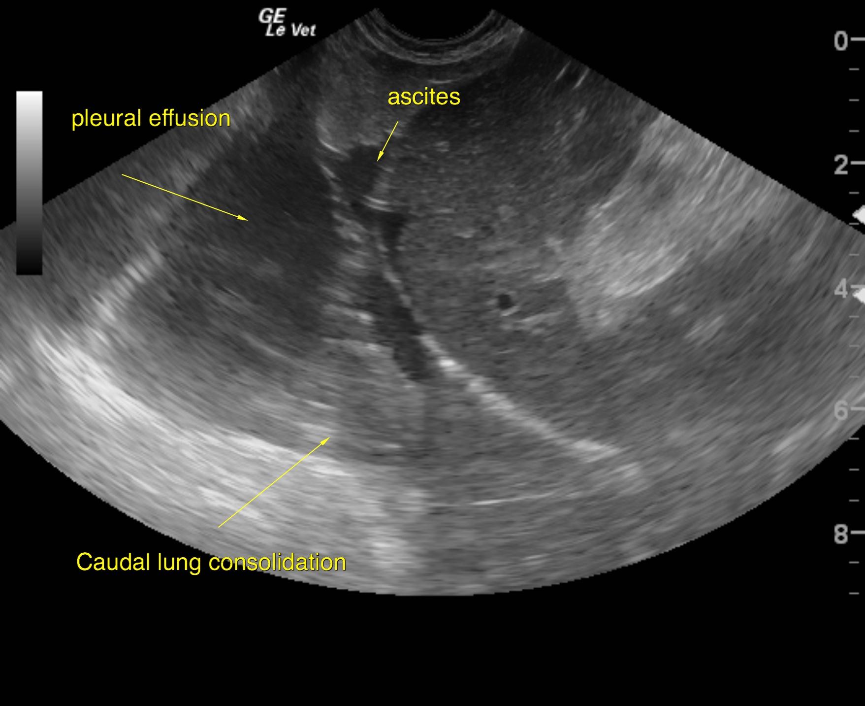
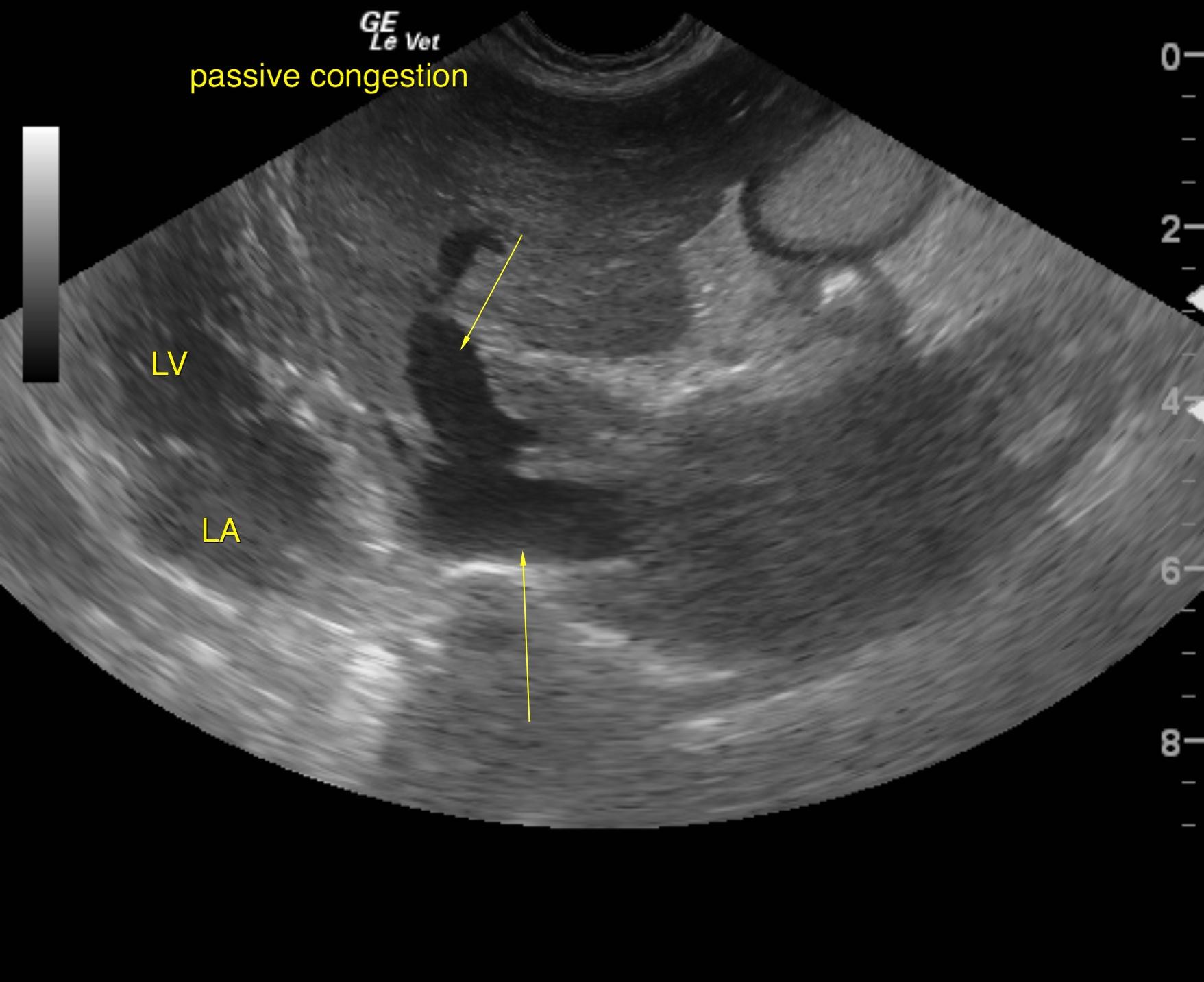
A 10-year-old NM Pomeranian was presented for evaluation of decreased appetite, increased respiratory rate and effort, abdominal distention, and syncopal episodes for the past two weeks. Abnormalities on physical examination were Grade V/VI heart murmur, clear lungs with increased respiratory rate and effort, a palpable fluid wave. Urinalysis showed 3+ proteinuria. Abnormalities on CBC and serum biochemistry were leukocytosis and hypoproteinemia. Survey radiographs showed mild pleural effusion, severe cardiomegaly, and decreased serosal detail within the abdomen.

