03_00379 Pierre B Cirrhosis/Chronic hepatitis

Case Study

03_00379 Pierre B Cirrhosis/Chronic hepatitis

A 6-year-old NM French bulldog was presented for evaluation of lethargy over a 5-day period, head tilt, hunched neck, and arched back. Abnormalities on serum biochemistry were elevated ALT, AST, and ALP activity. 

A 6-year-old NM French bulldog was presented for evaluation of lethargy over a 5-day period, head tilt, hunched neck, and arched back. Abnormalities on serum biochemistry were elevated ALT, AST, and ALP activity. 

Sonographic Differential Diagnosis

Chronic hepatitis with likely cirrhosis and portal hypertension.
The patient needs a liver biopsy from a lower left sided intercostal position. Suggested protocol include Royal Canin, hepatic support, Lactulose, Metronidazole, nutraceuticals and increase the quality protein with either yogurt or Cheddar cheese. Low dose Spironolactone can be utilized for the ascites.

Image Interpretation

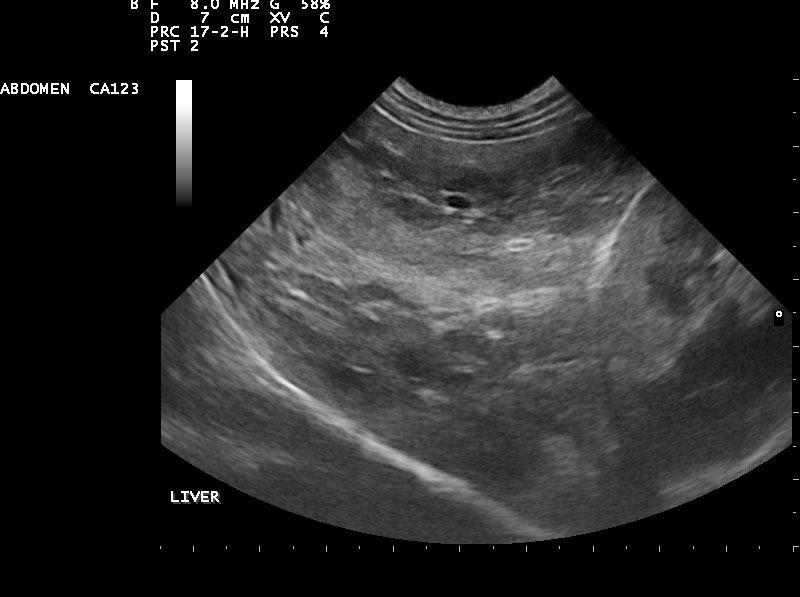
Diffuse nodular liver disease and microhepatica. The portal vein can be followed completely to its branches, but it is very tortuous and with the ascites that is seen, might be indicative of portal hypertension. This is typical cirrhosis with possible portal vein branch hypoplasia-microvascular dysplasia. The bile acids are likely very high and the clinical signs are owing to hyperammonemia. There are secondary shunts as well demonstrated by the tortuous vessels especially in the area of the pancreas where there is pancreatic edema. The lobe portal vein velocities support portal vein hypertension.

DX

Cirrhosis, chronic hepatitis

Outcome

None

Clinical Differential Diagnosis

CNS – neoplasia, inflammatory encephalopathy, vascular accident, viral/bacterial meningitis, disc disease, trauma, hepatic encephalopathy
Liver – nodular regeneration, vacuolar hepatopathy, acute hepatitis (viral, bacterial, trauma, toxins), chronic-active hepatitis

Sampling

None

Patient Information

Gender : Male, Neutered
Species : Canine
Type of Imaging : Ultrasound
Status : Complete

Clinical Signs

  • Abdominal Pain
  • Lethargy
  • Neurologic signs

Images

pierre_brown_20131128094510_1002470pierre_brown_20131128094510_0952170pierre_brown_20131128094510_1027340

Blood Chemistry

  • Alkaline Phosphatase (SAP), High
  • ALT (SGPT), High
  • AST (SGOT), High

Clinical Signs

  • Abdominal Pain
  • Lethargy
  • Neurologic signs