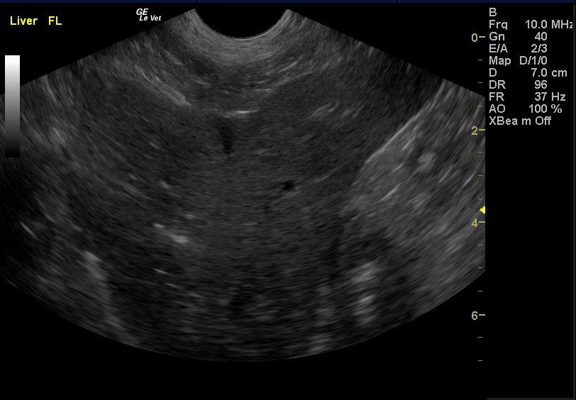
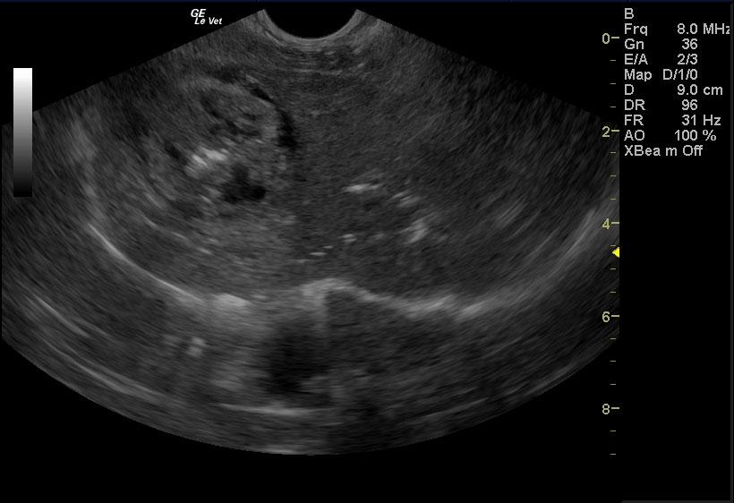
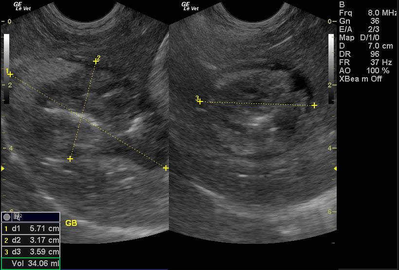
A 15 year old female spayed mixed canine with a history of decreased appetite, diarrhea, and ataxia was presented for evaluation of being unable to walk, weak and lethargic, anorexic, and possible seizures. Abnormalities on serum biochemistry were severely elevated liver enzyme activity, bilirubinemia, hypokalemia, and elevated pre-prandial bile acids. Systolic blood pressure was normal.
A 15 year old female spayed mixed canine with a history of decreased appetite, diarrhea, and ataxia was presented for evaluation of being unable to walk, weak and lethargic, anorexic, and possible seizures. Abnormalities on serum biochemistry were severely elevated liver enzyme activity, bilirubinemia, hypokalemia, and elevated pre-prandial bile acids. Systolic blood pressure was normal.



