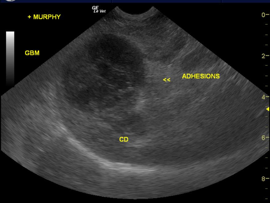
An 11-year-old intact female Cairn terrier dog was presented on emergency at RDVM for vomiting bile for 24 hours. Abnormalities on physical examination were lethargy, severe dental disease, prominent popliteal lymph nodes, and a tense abdomen and prominent liver on palpation. CBC and blood chemistry showed marked leukocytosis, neutrophilia, monocytosis, eosinopenia, thrombocytosis, elevated total proteins, hyperglobulinemia, markedly elevated ALP activity, hyperbilirubinemia, and mild hypercholesterolemia. On abdominal radiographs gas in the stomach and hepatomegaly were evident.
An 11-year-old intact female Cairn terrier dog was presented on emergency at RDVM for vomiting bile for 24 hours. Abnormalities on physical examination were lethargy, severe dental disease, prominent popliteal lymph nodes, and a tense abdomen and prominent liver on palpation. CBC and blood chemistry showed marked leukocytosis, neutrophilia, monocytosis, eosinopenia, thrombocytosis, elevated total proteins, hyperglobulinemia, markedly elevated ALP activity, hyperbilirubinemia, and mild hypercholesterolemia. On abdominal radiographs gas in the stomach and hepatomegaly were evident. The patient was treated with IV fluids, Ampicillin, Baytril, Famotadine, Cerenia, and Buprenex.
