03_00077 Hunter S Large glycogen liver mass

Case Study

03_00077 Hunter S Large glycogen liver mass

A 10-year-old Golden Retriever dog presented for a routine checkup. Mild weight loss and palpable hepatomegaly were evident during physical examination. Moderately elevated SAP and mild to moderately elevated ALT were evident on blood chemistry analysis.

A 10-year-old Golden Retriever dog presented for a routine checkup. Mild weight loss and palpable hepatomegaly were evident during physical examination. Moderately elevated SAP and mild to moderately elevated ALT were evident on blood chemistry analysis.

Sonographic Differential Diagnosis

A benign or low-grade malignant neoplasm, hepatoma, nodular hyperplasia.

Image Interpretation

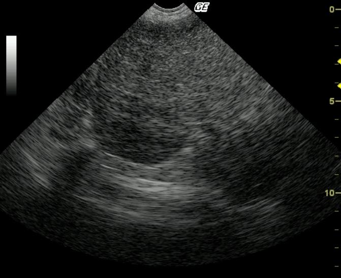
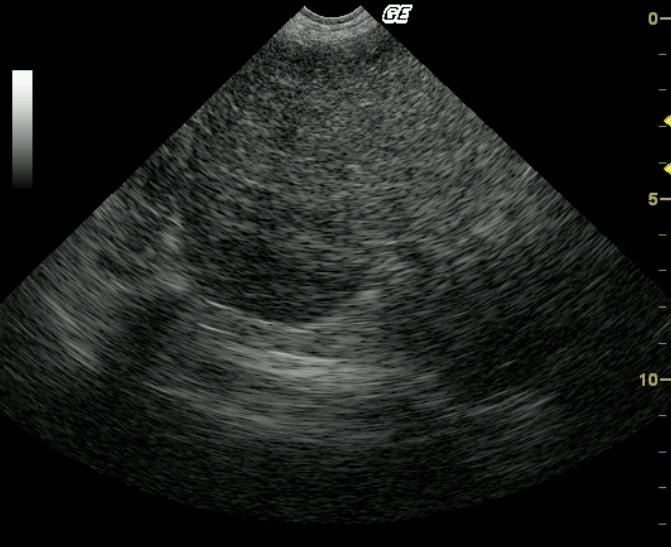
Long-axis left lateral lobar view reveals an ill-defined, lobulated, serosa-displacing, echogenic parenchymal swelling or mass. Note the smooth swollen serosal contour of the left lateral liver lobe.

DX

Moderate hepatocellular swelling and glycogen accumulation.

Outcome

The patient remained asymptomatic over the following 14 months but showed progressively elevated SAP with persistently elevated ALT. The patient presented for vomiting and icterus at that time. The sonogram demonstrated gallbladder congestion and cholangiohepatitis with mass impingement on the portal hilus. The owner denied further workup, and the patient was lost to follow-up. It was felt that the glycogen mass may have eventually influenced biliary outflow that may have predisposed it to posthepatic disease.

Comments

The conservation of architecture, even though a mass effect is seen, is consistent with a relatively benign or slow-growing process. Biopsy, as opposed to FNA, was essential to confirm this because of the need for a structural diagnosis.

Clinical Differential Diagnosis

Neoplasia, benign hepatopathy, hepatitis, pancreatitis, low-grade IBD, maldigestion.

Sampling

14-gauge US-guided biopsy revealed moderate hepatocellular swelling and glycogen accumulation.

Patient Information

Type of Imaging : Ultrasound

Images

03_00077_Glycogenmass_0001_07122011042801Glycogenmass
Skip to content