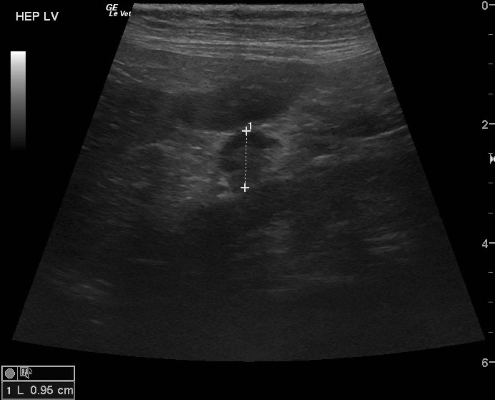
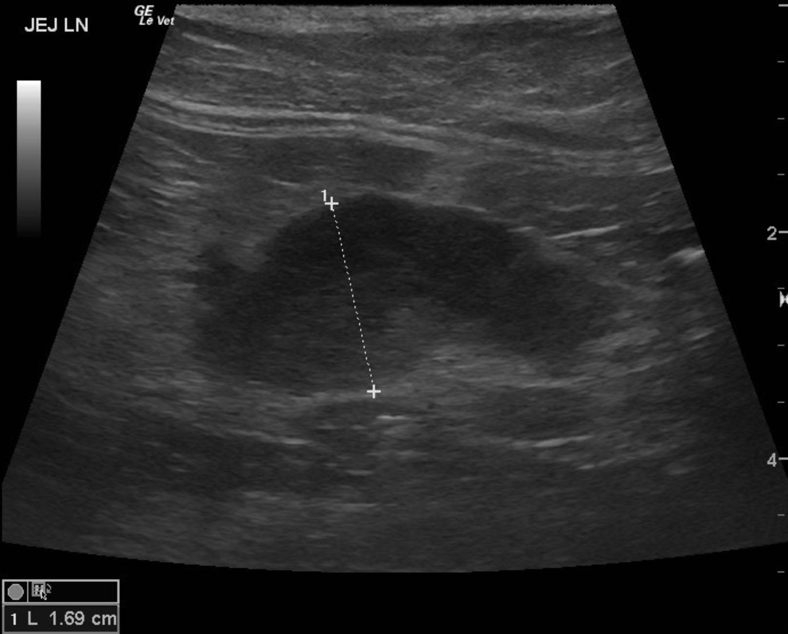
A 13-year-old SF DSH was presented for evaluation of 5-6 days of anorexia and weight loss. Abnormalities on physical examination were dehydration and dilated pupils. Urinalysis showed bilirubinuria. Abnormalities on serum biochemistry were elevated ALP activity and bilirubin.
A 13-year-old SF DSH was presented for evaluation of 5-6 days of anorexia and weight loss. Abnormalities on physical examination were dehydration and dilated pupils. Urinalysis showed bilirubinuria. Abnormalities on serum biochemistry were elevated ALP activity and bilirubin.


