– 3 yr, 10 month old, male, Cane Corso presented for weight loss and tachycardia
– chest rads taken 3 days ago showed a large, globoid heart and lungs fairly normal; ascites suspected
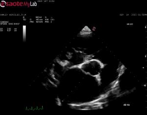
– echo shows LV and RV dilation, severe LAE
– poor systolic function with increased LVIDs; FS 14-18%
– surprisingly EPSS only 0.88
– moderate TR and moderate- severe MR; aortic and pulmonic max velocities wnl
– there is pleural effusion and ascites confirmed with dilated CVC and hepatic veins
– TR max vel around 4m/s
– 3 yr, 10 month old, male, Cane Corso presented for weight loss and tachycardia
– chest rads taken 3 days ago showed a large, globoid heart and lungs fairly normal; ascites suspected
– echo shows LV and RV dilation, severe LAE
– poor systolic function with increased LVIDs; FS 14-18%
– surprisingly EPSS only 0.88
– moderate TR and moderate- severe MR; aortic and pulmonic max velocities wnl
– there is pleural effusion and ascites confirmed with dilated CVC and hepatic veins
– TR max vel around 4m/s
So looks like right-side CHF with being on the verge of left-sided failure, systolic failure and pulmonary hypertension. I have recommended full bloodwork with T4, BP and ECG. Also pimo, furosemide+/- spironolactone and aceI added in once feeling better. Anti-arrhythmogenics may also be warrnated pending ECG. Questions:
1. If this is DCM why is the EPSS only 0.88? I took several measurments and this was the lowest number
2.When to treat the pulmonary hypertension?
3. Are Cane Corso’s a predisposed DCM breed?

Comments
Looks very dcm to me… the
Looks very dcm to me… the epss can be variable no rhyme or rhythm but always over 0.8 in dcm. triple tx and stabilize. pimo acei lasix and all the neutraceuticals. Consider myocarditis as well that can act like dcm….
I know this would be unusual,
I know this would be unusual, but evaluate this dogs diet and check a Taurine level.
I think the EPSS should be less than .77- so the EPSS at .88 is to high and consistent with DCM.
Look how flattened the IVS is in this dog. R ventricular pressures must be pretty highn
I agree with the the
I agree with the the flattened IVS Randy and looking back at my spectral Doppler I think that I could have got better alignment of the TR jet so 4m/s is likely underestimated
yes DCM for sure has all the
yes DCM for sure has all the crioteria and came corso get DCM. But always good to consider myocarditis because that responds potentially better than dcm.
So in case of myocarditis,
So in case of myocarditis, add in Doxycyline or other? If the heart has already remodelled and the pet is in CHF, will antibiotic help reverse anything or just help stop ongoing disease?
With myocraditis,
With myocraditis, unfortunately once there has been re-modelling there is minimal reversing but therapy may arrest further damage. Dog will have to managed as for DCM case.
Im a clindamycin fan on
Im a clindamycin fan on myocarditis potentials or doxy/clinda depends on the region and exposure to rickettsials and tick borne