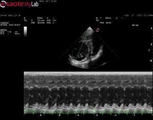
– 12 yr old MN Setter cross, wt 34kg, with a 2 month history of gagging cough and “slowing down” ; no murmur
– bloodwork including thyroid wnl, HW neg
-chest rads show a mild bronchointerstial pattern; heart normal, no lung masses, edema etc.
– rDVM started pet on 40mg lasix SID until echo could be performed; owners report pet’s cough worse on lasix
– echo showed normal LA size, no evidence of PAH so to me the cough is likely related to lung disease and this needs to be further worked-up (bronchial airway disease etc); mild MR and TR present
– 12 yr old MN Setter cross, wt 34kg, with a 2 month history of gagging cough and “slowing down” ; no murmur
– bloodwork including thyroid wnl, HW neg
-chest rads show a mild bronchointerstial pattern; heart normal, no lung masses, edema etc.
– rDVM started pet on 40mg lasix SID until echo could be performed; owners report pet’s cough worse on lasix
– echo showed normal LA size, no evidence of PAH so to me the cough is likely related to lung disease and this needs to be further worked-up (bronchial airway disease etc); mild MR and TR present
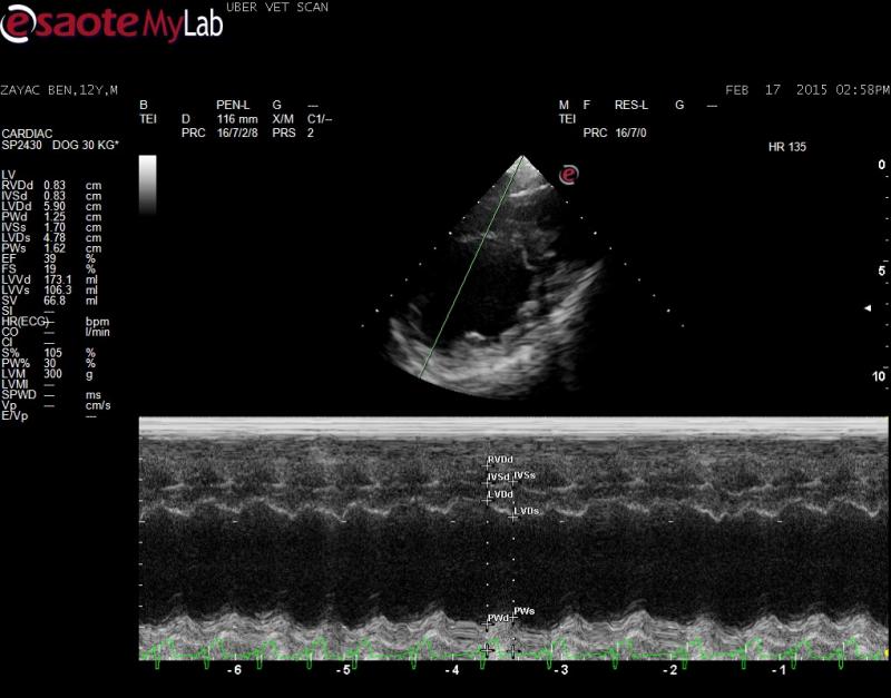
– echo did show a dilated LV and poor systolic function, decreased FS%, elevated EPSS so I am concerend about occult DCM
– would this pet be a candidate for pimobendin at this stage (I know he is not a Doberman!)



Comments
Consider myocarditis and
Consider myocarditis and debatable on the pimo… how about a baytril clindamycin trial and thyroid assessment then recheck the heart oin 10 days if stable?
Consider myocarditis and
Consider myocarditis and debatable on the pimo… how about a baytril clindamycin trial and thyroid assessment then recheck the heart oin 10 days if stable?
Thyroid was fine in this
Thyroid was fine in this patient. I have recommended a repeat scan. Wouldn’t the pet present more sick with myocarditis (although I have never seen a myocarditis case before)? Would myocarditis cause a cough?
Don’t work too hard in the sunny south btw EL ๐
Thyroid was fine in this
Thyroid was fine in this patient. I have recommended a repeat scan. Wouldn’t the pet present more sick with myocarditis (although I have never seen a myocarditis case before)? Would myocarditis cause a cough?
Don’t work too hard in the sunny south btw EL ๐
Not necessarily on the
Not necessarily on the clinical signs… myocarditis like any infectious can be subclinical to peracute…
Not necessarily on the
Not necessarily on the clinical signs… myocarditis like any infectious can be subclinical to peracute…
hi!
ย
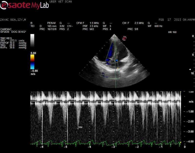
Do you have a right
hi!
Do you have a right parasternal 4-chamber clip for me? LA/AO on M-Modes in large breed dogs usually underestimate left atrial size.
Looks a bit like occult DCM in this case Pimo is an option.
Peter
hi!
ย
Do you have a right
hi!
Do you have a right parasternal 4-chamber clip for me? LA/AO on M-Modes in large breed dogs usually underestimate left atrial size.
Looks a bit like occult DCM in this case Pimo is an option.
Peter
Hi Peter
Of course the clip
Hi Peter
Of course the clip you want, I did not save! I have added two tranverse right parasternal views, if this may help? They are slightly obliqued ๐
Do you agree that the cough is likely not heart related at this time?
If pimo considered, would you use a regular starting dose?
Thanks for your help!
Hi Peter
Of course the clip
Hi Peter
Of course the clip you want, I did not save! I have added two tranverse right parasternal views, if this may help? They are slightly obliqued ๐
Do you agree that the cough is likely not heart related at this time?
If pimo considered, would you use a regular starting dose?
Thanks for your help!
I completely agree,
I completely agree, Jaqcuie!
normal Pimo dose, cough not due to heart dx
Best regards!
I completely agree,
I completely agree, Jaqcuie!
normal Pimo dose, cough not due to heart dx
Best regards!
Thanks Peter and
Thanks Peter and congratulations on your canine mitral valve repair surgery. Really amazing stuff!
Thanks Peter and
Thanks Peter and congratulations on your canine mitral valve repair surgery. Really amazing stuff!
Thanks, Jacquie ๐
Thanks, Jacquie ๐
Thanks, Jacquie ๐
Thanks, Jacquie ๐