Intestinal FB

Sonopath Forum

– 8 month F Golden Retriever 24 hour history of vomiting

– grade 1-2 systolic murmur PMI left heart apex which had not been noted before

– echocardiogram normal; no insufficiences, Aortic Max Vel 2 m/s, all valves normal, no VSD, LV and LA normal, right heart subjectively normal

– 8 month F Golden Retriever 24 hour history of vomiting

– grade 1-2 systolic murmur PMI left heart apex which had not been noted before

– echocardiogram normal; no insufficiences, Aortic Max Vel 2 m/s, all valves normal, no VSD, LV and LA normal, right heart subjectively normal

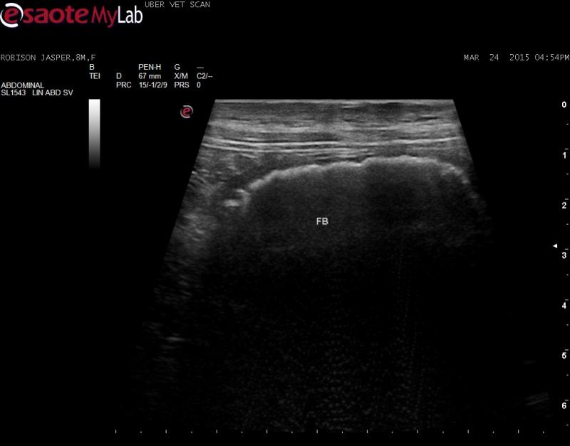
I believe there is a GI FB present in the SI; the stomach had a small amount of fluid in it, duodenum was normal. Strongly shadowing object found in loop of SI with surrounding hyperechoic fat. I have recommended surgery, but just want an opinion to confirm my findings – always afraid I am looking at the colon, but this looks like SI to me

I realize I could be possibly missing something on the echo on finding the source of the heart murmur, but could it be a physiologic murmur secondary to the GI FB?

 

 

Comments

rlobetti

Highly indicative of an

Highly indicative of an intestinal FB. Murmur most likley physiological but monitor it.

rlobetti

Highly indicative of an

Highly indicative of an intestinal FB. Murmur most likley physiological but monitor it.

Pankatz

FB confirmed at surgery.  I

FB confirmed at surgery.  I have added the photos before and after – mouse toy.

Pankatz

FB confirmed at surgery.  I

FB confirmed at surgery.  I have added the photos before and after – mouse toy.

EL

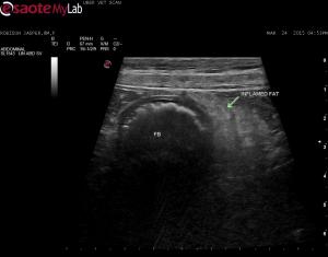
Fluid absorbing FB so not big

Fluid absorbing FB so not big dilation evident prior to the fb. The second video has perserosal fat inflammation so makes it an emergency.

See our study on the sonographic Gi obstruction criteria ECVIM 2009

http://sonopath.com/resources/research-publications

great post

EL

Fluid absorbing FB so not big

Fluid absorbing FB so not big dilation evident prior to the fb. The second video has perserosal fat inflammation so makes it an emergency.

See our study on the sonographic Gi obstruction criteria ECVIM 2009

http://sonopath.com/resources/research-publications

great post

Skip to content