– 9 year olf MN Golden Retriever with history “not being himself” since February and intermittently vomiting foam and food; drinking alot and eating snow
– rDVM thought she felt a cranial abominal mass; bloodwork unremarkable; pyrexia
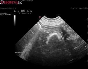
– u/s suspicious for a gastric FB and gastritis pattern; reactive jejnual LN’s – rest of scan normal
– 9 year olf MN Golden Retriever with history “not being himself” since February and intermittently vomiting foam and food; drinking alot and eating snow
– rDVM thought she felt a cranial abominal mass; bloodwork unremarkable; pyrexia
– u/s suspicious for a gastric FB and gastritis pattern; reactive jejnual LN’s – rest of scan normal
– the patient did eat the morning of the scan so I have suggested a 12 hour fast and repeat scan. If lesion still present then recommend gastrotomy and exploratory to inspect the rest of GI tract and biopsy the stomach, SI and jejunal LN’s to rule out underlying GI disease
Am I crazy, or does this look like a gastric FB? I was really expecting to find something like a splenic mass in this patient, so was kind of surprised with the stomach lesion but history would fit with a chronic gastric FB. The pet has not been on oral meds.


Comments
I think you have a fair
I think you have a fair suspicion here! And your plan sounds good, too. I would re-scan fasted may be even give some water after an initial scan if you are still not sure…
Its about <2 cm so be sure
Its about <2 cm so be sure this isnt a dissolving sucralfate or something… I would certainly rescan before gastrotomy or scope