Suspected insulinoma in a 9 year old FS Beagle

Case Study

Suspected insulinoma in a 9 year old FS Beagle

A 9-year-old spayed female Beagle dog was presented for evaluation of acute onset seizures and hypoglycemia.

A 9-year-old spayed female Beagle dog was presented for evaluation of acute onset seizures and hypoglycemia.

Sonographic Differential Diagnosis

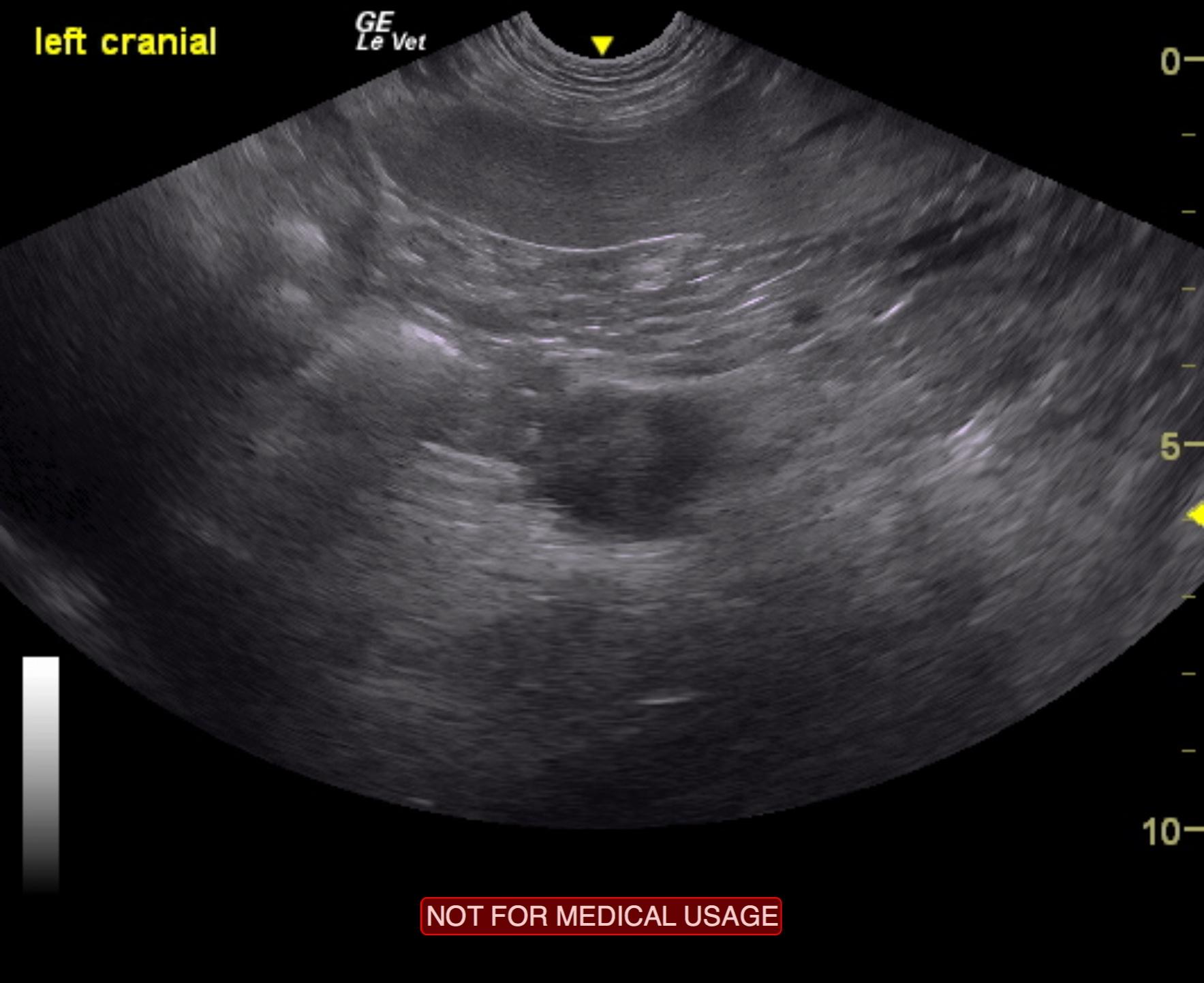
Given the patient’s history, these images are strongly consistent with insulinoma, with potential local lymph node metastasis. There was no evidence of metastatic lesions in the liver. However, the liver should be inspected at the time of surgery, as micrometastasis is a common event in presumed insulinoma.

Image Interpretation

The left pancreatic limb revealed a hypoechoic, 2.0 cm structure, which demonstrated an irregular contour. This may represent a metastatic lymph node or primary mass. The appearance is consistent with insulinoma. Slight, hypoechoic nodular change was noted adjacent to it and measured 1.0 cm.

DX

Insulinoma, suspect

Outcome

None

Comments

An insulin-glucose ratio is recommended prior to surgery especially for surgical management of hypoglycemia. Guarded prognosis.

Clinical Differential Diagnosis

Insulinoma, other neoplasia

Sampling

Fine needle aspirate of the pancreas (or direct surgical exploratory) was recommended. However, no sampling was completed.

Patient Information

Patient Name : Abigail D
Gender : Female, Spayed
Species : Canine
Type of Imaging : Ultrasound
Status : Complete
Liz Wuz Here : Yes
Code : 05_00182

Clinical Signs

  • Seizures

Images

dotts_abigail_insulinoma

Blood Chemistry

  • Glucose, Low

Clinical Signs

  • Seizures
Skip to content