RADS – Age Related Bronchointerstitial Pattern in a 16 year old FS Himalayan cat

Case Study

RADS – Age Related Bronchointerstitial Pattern in a 16 year old FS Himalayan cat

Presenting clinical signs: increased respiratory rate. 

Treated as potential feline asthma 2 weeks ago, no improvement. CBC and Chem WNL

Presenting clinical signs: increased respiratory rate. 

Treated as potential feline asthma 2 weeks ago, no improvement. CBC and Chem WNL

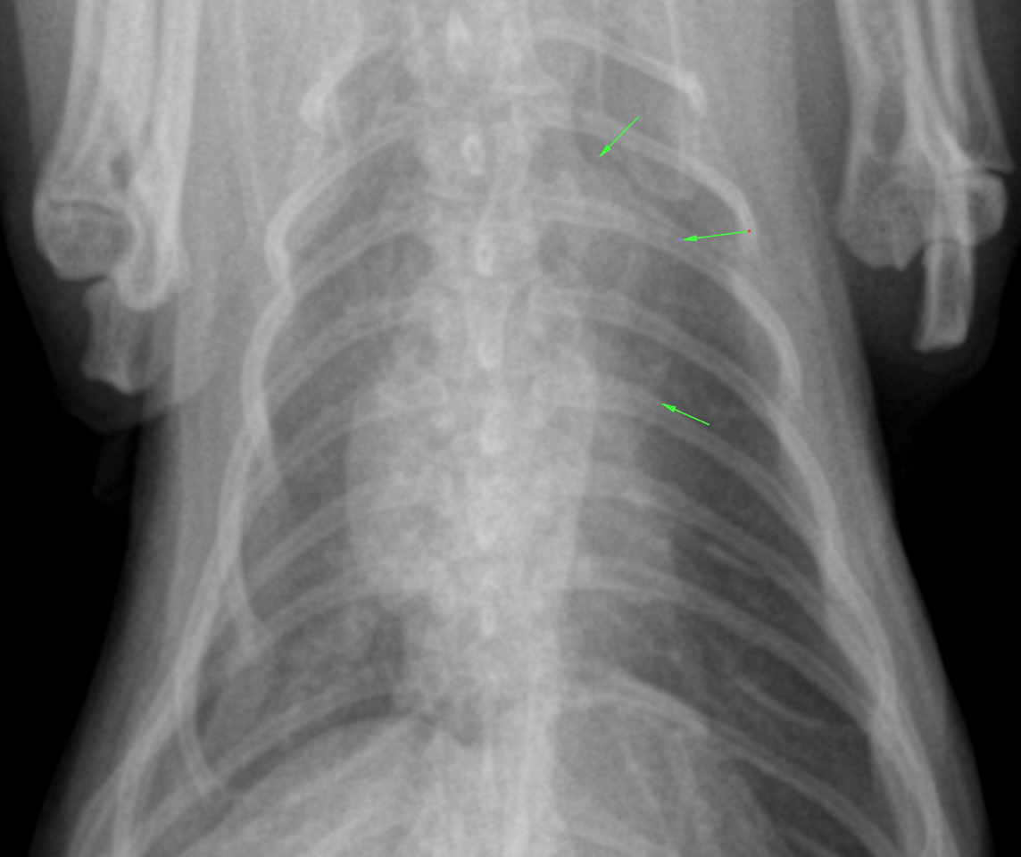
Image Interpretation

lateral and DV thorax, right lateral neck – The patient was thin.
Osseous structures:
Mild degenerative changes were associated with the axial skeleton.
Extrathoracic soft tissues:
There was aerophagia with moderate amounts of gas within the stomach and intestine. The serosal detail was mildly reduced which likely was a function of lacking peritoneal fat.
Intrathoracic structures:
The esophagus was not seen. The course of the trachea was normal. The cardiac silhouette was within normal limits. There was a redundant aortic arch. The caudal vena cava and pulmonary vessels were thin. There was no mediastinal widening.
The chest was funnel shaped. The lung presented a mild generalized thinwalled bronchointerstitial pattern. There was no air trapping. There were no signs of expiratory obstruction. There were no signs of pneumonia, congestive heart failure, pulmonary edema or pleural effusion.

DX

The lung changes are most compatible with a normal age related bronchointerstitial pattern.

Comments

The were no radiographic signs of cardiac disease or congestive heart failure. 

Signs specific for chronic airway obstruction are lacking rendering feline asthma very unlikely. The aerophagia may be a function of a primary intestinal disease, a metabolic disorder, pain or stress. Rule out metabolic & spinal disease and enforce abdominal ultrasound for further diagnostic workup. 

Patient Information

Patient Name : Sassy Dayton, Bayshore
Gender : Female, Spayed
Species : Feline
Type of Imaging : Ultrasound
Status : Complete
Liz Wuz Here : Yes

Images

bildschirmfoto_2015-09-09_um_16bildschirmfoto_2015-09-09_um_16bildschirmfoto_2015-09-09_um_13bildschirmfoto_2015-09-09_um_13
Skip to content