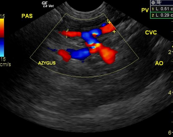
A 4-year-old F Yorkshire Terrier dog was presented at an emergency facility for acute onset disorientation, unresponsiveness, and vomiting. On physical examination, she appeared blind and was disoriented. Abnormalities on CBC and blood chemistry were low MCV and hypocholesterolemia. The patient was treated with K/D diet. Recheck blood work a month later showed alkaline phosphatase normalized and a normal WBC. Eight months later, the owner reported that the patient was still vomiting 1-2 times a week and getting Lactulose. CBC showed low MCV and MCHC.
A 4-year-old F Yorkshire Terrier dog was presented at an emergency facility for acute onset disorientation, unresponsiveness, and vomiting. On physical examination, she appeared blind and was disoriented. Abnormalities on CBC and blood chemistry were low MCV and hypocholesterolemia. The patient was treated with K/D diet. Recheck blood work a month later showed alkaline phosphatase normalized and a normal WBC. Eight months later, the owner reported that the patient was still vomiting 1-2 times a week and getting Lactulose. CBC showed low MCV and MCHC. The only change on blood chemistry was elevated ALP activity. Nutrical was added to the therapy. Two weeks later, the patient was presented for vomiting. On physical examination, the patient was febrile and slightly disoriented. The patient was treated with metronidazole and L/D diet. The following morning the owner reported that the patient was back to normal.


