Pancreatic carcinoma diagnosed on ultrasound-guided FNA in a 7 year old FS Shar Pei

Case Study

Pancreatic carcinoma diagnosed on ultrasound-guided FNA in a 7 year old FS Shar Pei

A 7-year-old spayed female Shar Pei dog was presented for evaluation of seizure activity, secondary to hypoglycemia.

A 7-year-old spayed female Shar Pei dog was presented for evaluation of seizure activity, secondary to hypoglycemia.

Sonographic Differential Diagnosis

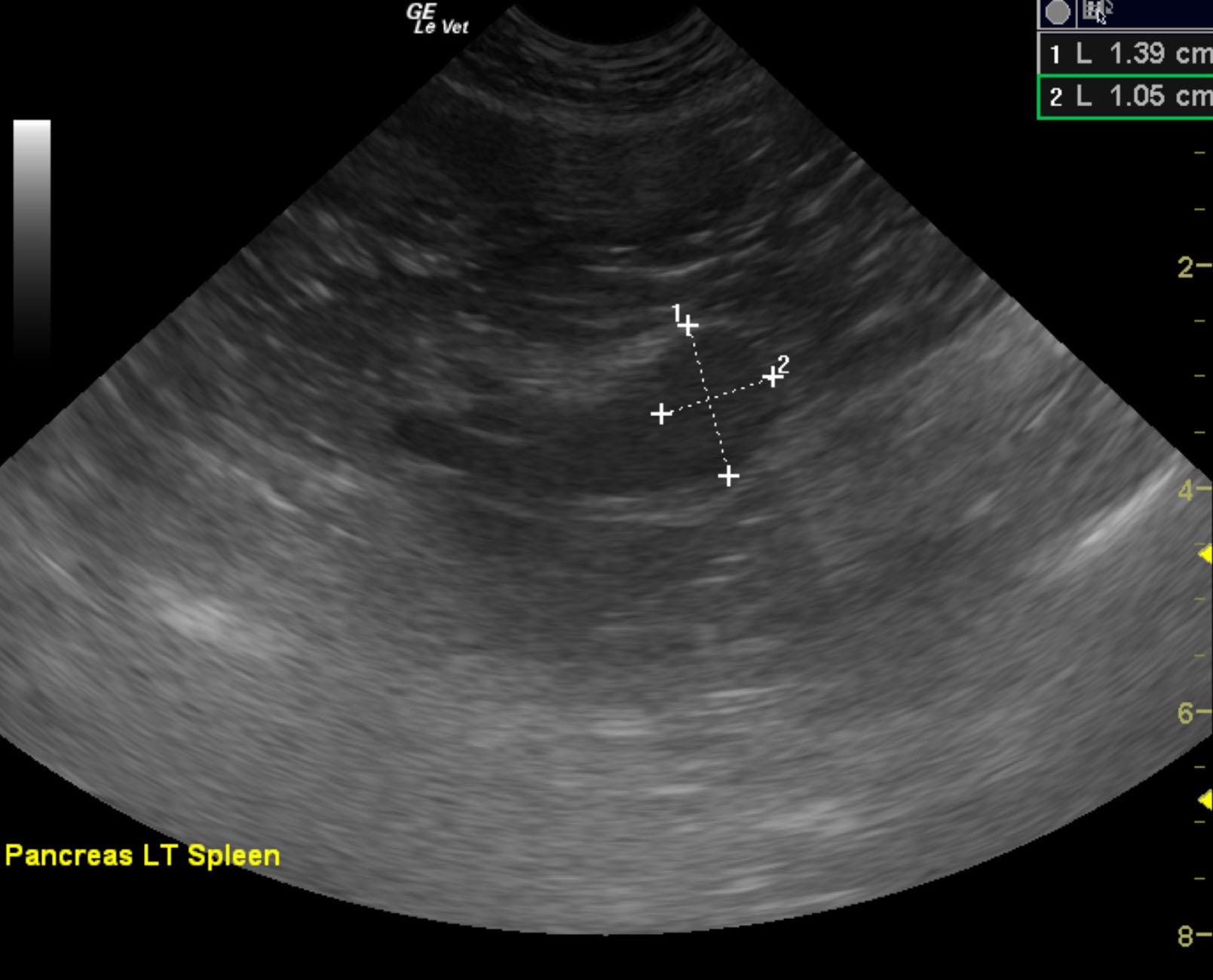
This is consistent with pancreatic nodule at the caudal pole of the left pancreatic limb or potentially a regional lymph node. This is strongly suspicious for metastatic or localized insulinoma. This lesion is adjacent to the mesenteric artery. Therefore, it very well may be a lymph node.

Image Interpretation

The left pancreatic limb revealed a 2 x 1.5 cm, hypoechoic nodule. The nodule was strongly vascular.

DX

Malignant epithelial cell tumor of pancreatic origin

Outcome

None

Comments

Recommend insulin glucose ratio/insulin profile. Surgical intervention and resection is warranted in this patient.

Clinical Differential Diagnosis

Insulinoma, xylitol toxicity, atypical Addison’s disease, hepatic shunt/cirrhosis, sepsis.

Sampling

Ultrasound-guided FNAs were performed without complication. FNA revealed a malignant epithelial cell tumor with few clumps of exocrine pancreatic cells.

Patient Information

Patient Name : Kian S
Gender : Female, Spayed
Species : Canine
Type of Imaging : Ultrasound
Status : Complete
Liz Wuz Here : Yes
Code : 05_00147

Clinical Signs

  • Seizures

Images

kian_shenal_suspect_insulinoma_fna_panc_or_lnkian_shenal_suspect_insulinoma_fna_panc_or_ln_2

Blood Chemistry

  • Glucose, Low

Clinical Signs

  • Seizures
Skip to content