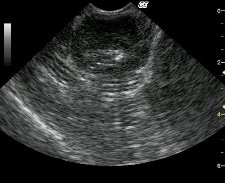
This MN 10-year-old DSH was presented for partial anorexia and weight loss and the physical examination revealed palpably thickened intestines. A CBC and blood chemistry profile revealed a mild leukocytosis with slightly elevated ALT and slightly elevated lipase.
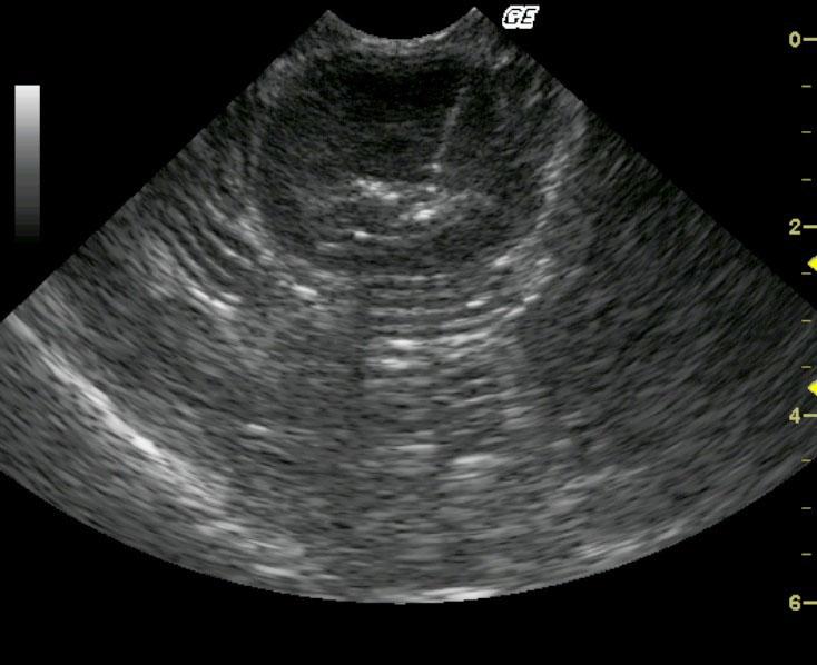
This MN 10-year-old DSH was presented for partial anorexia and weight loss and the physical examination revealed palpably thickened intestines. A CBC and blood chemistry profile revealed a mild leukocytosis with slightly elevated ALT and slightly elevated lipase.

