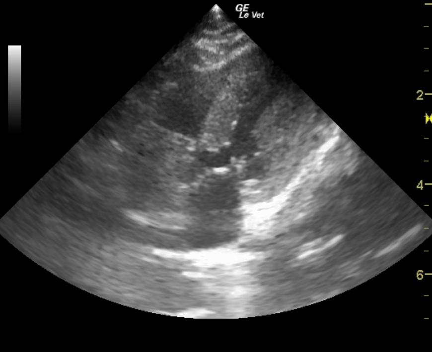
An 11-year-old MN DSH cat presented for sudden onset of hind limb paralysis. CBC and blood chemistry were both within normal limits. Blood pressure measurements were within normal range. MRI revealed lesions suspect for fibrocartilaginous embolism at L6 through the sacrum. Thoracic radiographs showed mild cardiomegaly and a valentine-shaped heart.
An 11-year-old MN DSH cat presented for sudden onset of hind limb paralysis. CBC and blood chemistry were both within normal limits. Blood pressure measurements were within normal range. MRI revealed lesions suspect for fibrocartilaginous embolism at L6 through the sacrum. Thoracic radiographs showed mild cardiomegaly and a valentine-shaped heart.

