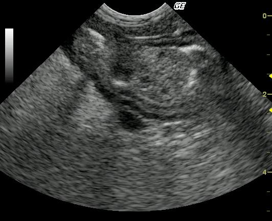
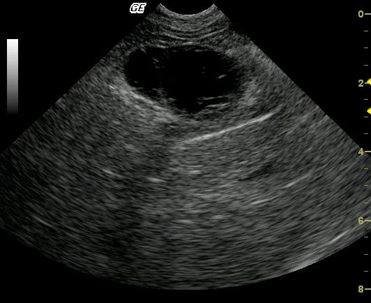
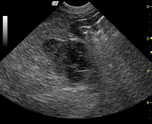
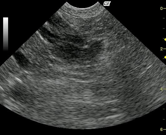
This 10 year old neutered male Beagle cross was presented for altered behavior. The physical exam was normal. CBC was normal while the blood chemistry revealed moderately elevated SAP and a slightly elevated total protein and slightly elevated globulin. The urinalysis revealed USG of 1.021 and 4+ proteinuria with inactive sediment. ACTH stimulation test was normal.
This 10 year old neutered male Beagle cross was presented for altered behavior. The physical exam was normal. CBC was normal while the blood chemistry revealed moderately elevated SAP and a slightly elevated total protein and slightly elevated globulin. The urinalysis revealed USG of 1.021 and 4+ proteinuria with inactive sediment. ACTH stimulation test was normal.







