Dilated Cardiomyopathy (DCM) in a 9 year old FS English Setter dog

Case Study

Dilated Cardiomyopathy (DCM) in a 9 year old FS English Setter dog

History of coughing daily for the past 2-3 months. Physical exam showed HR of 150-160 bpm, pounding heart, no murmur, weak pulses. Radiographs showed generalized cardiomegaly and mild perihilar edema. ECG showed sinus rhythm with frequent APCs and VPCs. Blood pressure 132/45, MAP 96 average.

 

History of coughing daily for the past 2-3 months. Physical exam showed HR of 150-160 bpm, pounding heart, no murmur, weak pulses. Radiographs showed generalized cardiomegaly and mild perihilar edema. ECG showed sinus rhythm with frequent APCs and VPCs. Blood pressure 132/45, MAP 96 average.

 

Image Interpretation

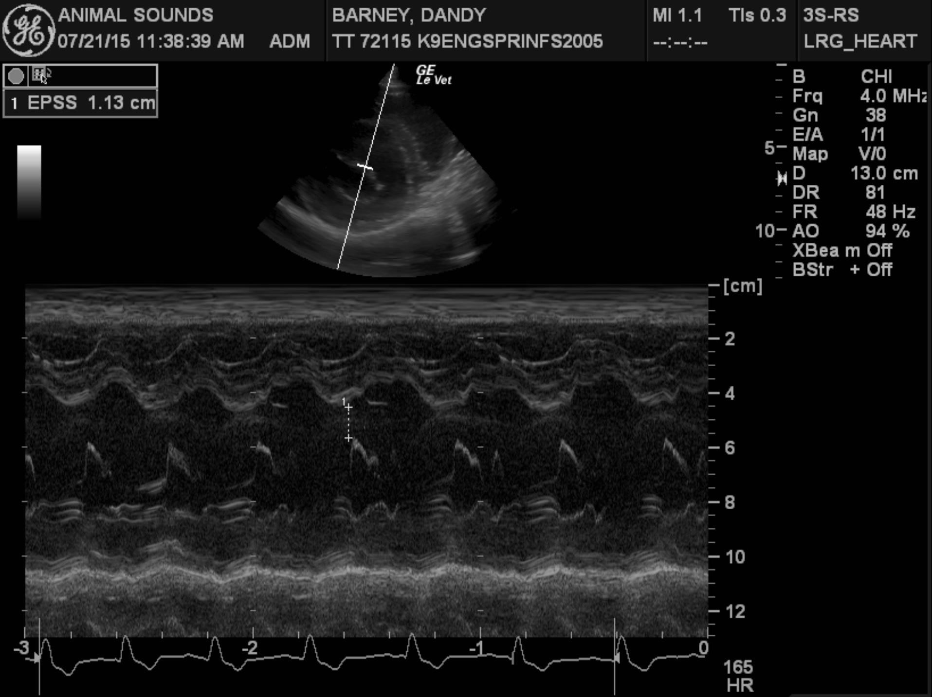
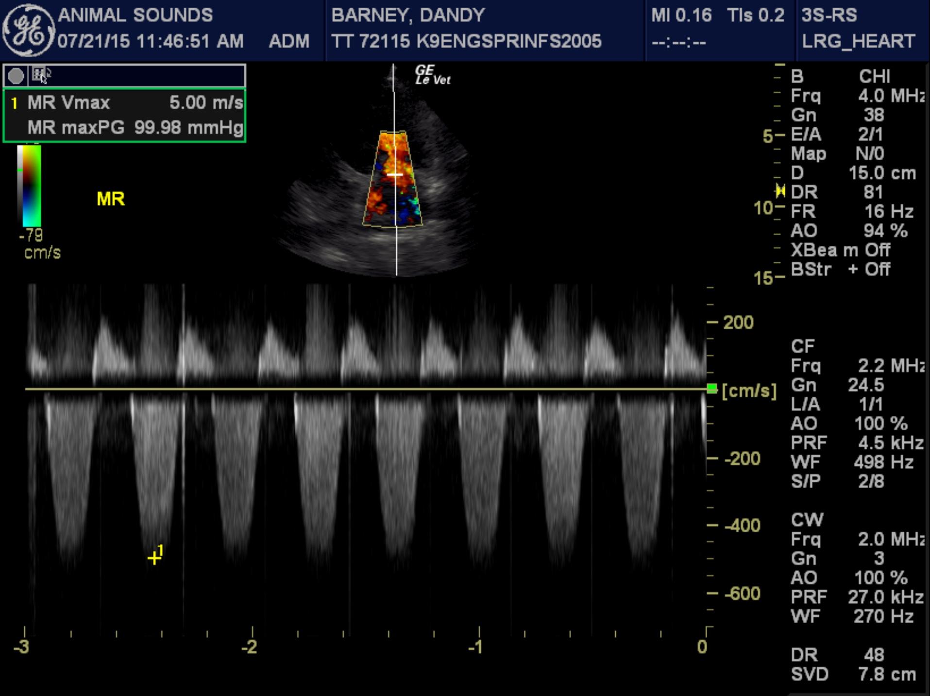
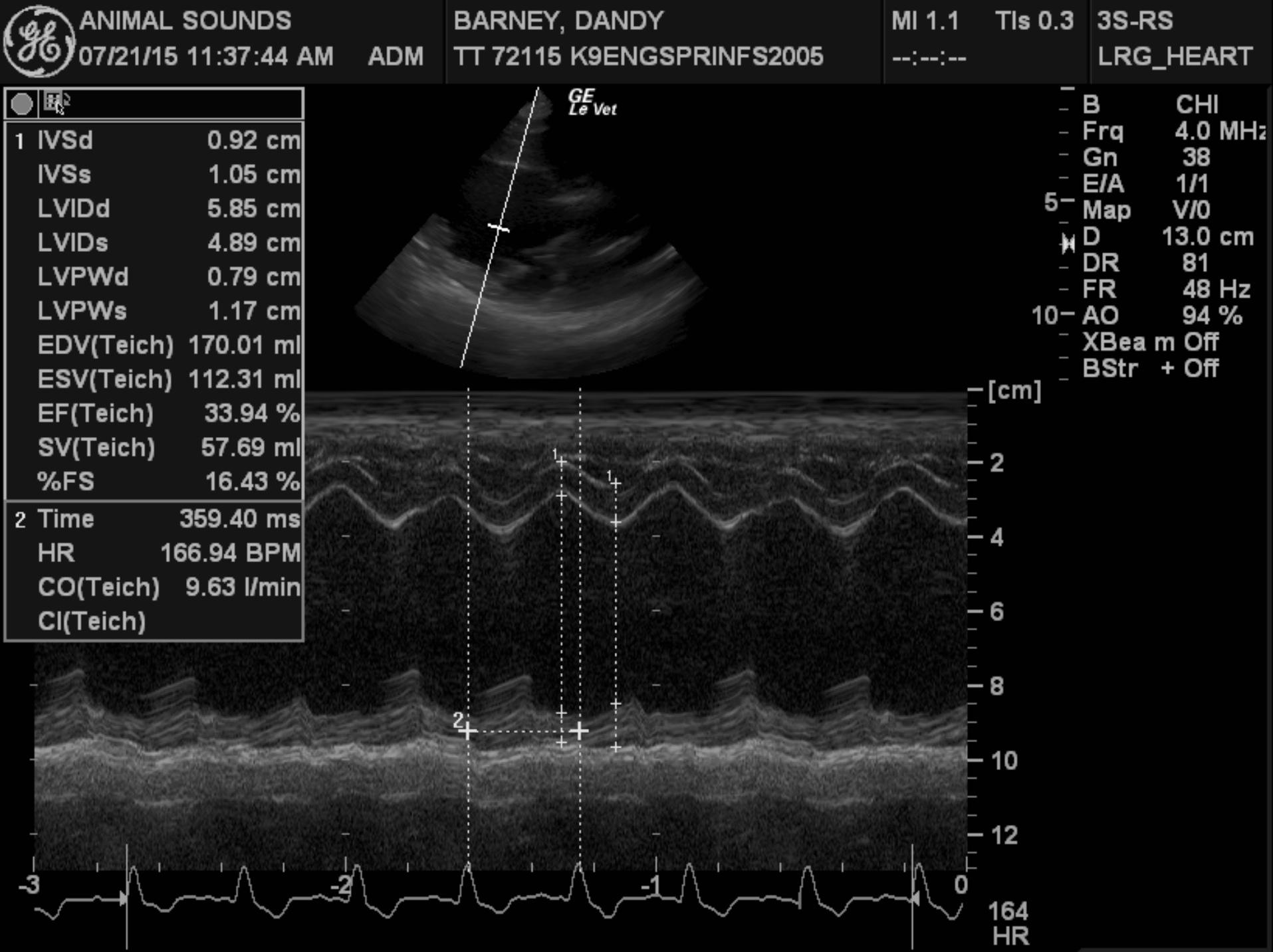
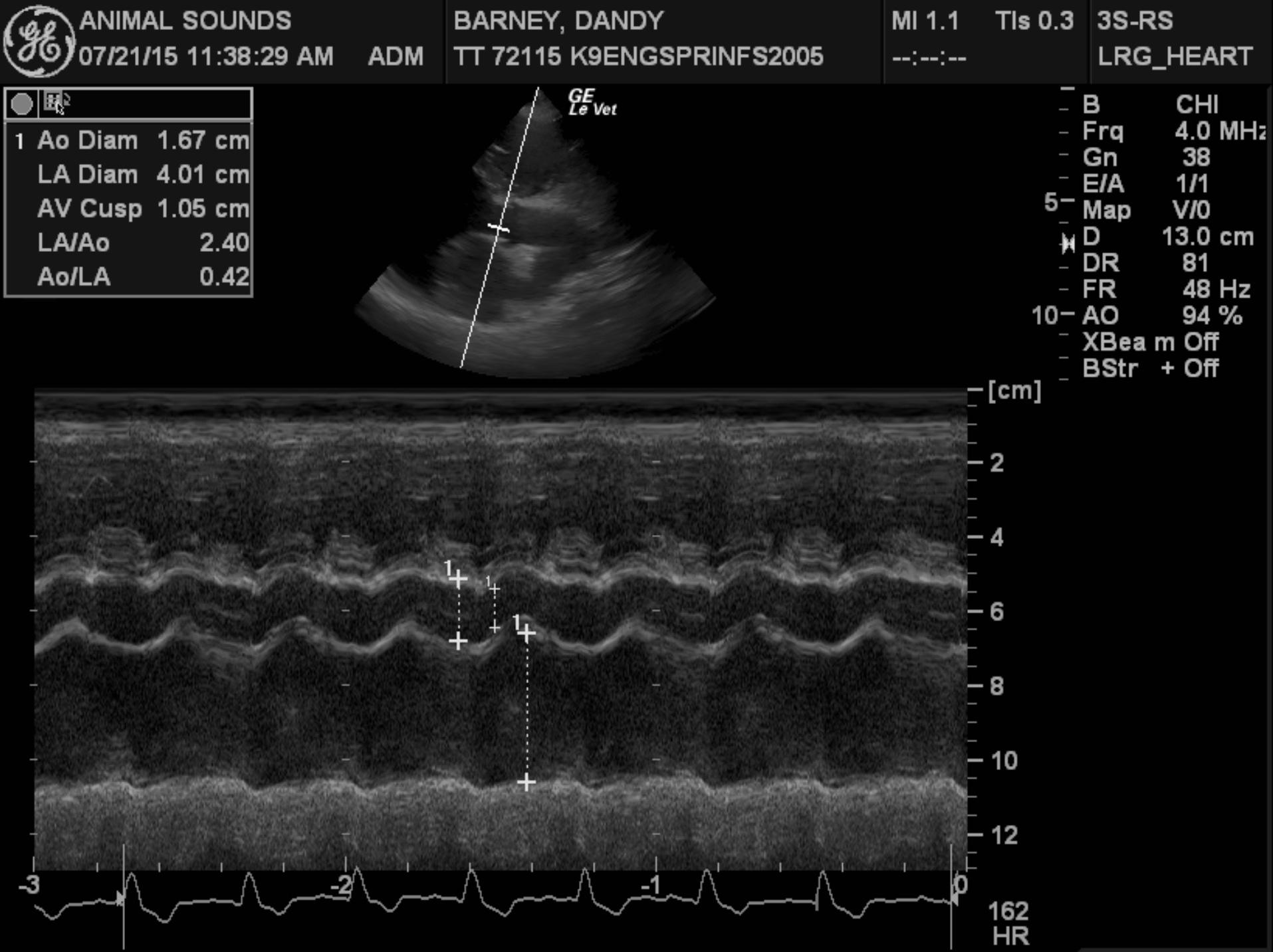
Echocardiogram findings: There is moderate to severe left ventricular dilation. The mitral valve appears normal, though a mild jet of central mitral regurgitation is present. Left ventricular systolic function is globally depressed. The aorta and aortic valve are normal. Right atrial and right ventricular dimensions are normal. The tricuspid valve appears normal, though trace physiologic tricuspid regurgitation is present. The pulmonary artery and pulmonic valve are normal. No pericardial effusion or cardiac masses are seen.
LA – 57.8 mm
LA/Ao – 2.39
LVIDd – 66.2 mm
LVIDs – 54.5 mm
FS – 17.6%
EPSS – 1.13
LVOT Vmax – 1.55 m/s
RVOT Vmax – 0.93

DX

Dilated Cardiomyopathy (DCM)

Outcome

This examination demonstrates global left ventricular systolic dysfunction, consistent with dilated cardiomyopathy. Secondary to the patient’s myocardial dysfunction, she has severe left ventricular dilation, as well as moderate to severe left atrial dilation, and it appears that she is in mild congestive heart failure based on her thoracic radiographic findings. Given the severity of her cardiac disease, it appears very likely that this is the cause of her arrhythmia.
Unfortunately, the long-term prognosis for primary DCM is relatively poor, as the median survival following the first onset of congestive heart failure is in the 6-12 month range, though a small percentage of dogs do live significantly longer than this time period. The prognosis can be much better if a secondary cardiomyopathy, such as taurine deficiency or myocarditis, is present, as these diseases are potentially reversible, though they are much less common than primary DCM.

RECOMMENDATIONS: While taurine deficiency is unlikely, it is worthwhile to evaluate a plasma taurine level and to supplement with taurine (500 mg BID) pending the results.
Recommended therapy for the cardiac disease includes Lasix (50 mg BID), enalapril (10 mg BID), pimobendan (7.5 mg am, 5 mg pm), and spironolactone (25 mg BID).
Regarding the arrhythmia, while sotalol is effective against both APC’s and VPC’s, the negative inotropic properties of the medication can worsen the heart failure. Options would be to wait until the CHF is better controlled and then slowly introduce the sotalol, or alternatively, use different antiarrhythmics to treat the APCs and VPCs. A safer alternative to treat the ventricular ectopy would be mexiletine (100 mg TID with food, needs to be compounded). As for the atrial ectopy, therapy with diltiazem (15 mg TID) will likely be effective.
A recheck X-ray, renal profile, and ECG are recommended in one week.

Patient Information

Patient Name : Dandy Barney, Eugene Mobile Veterinary Services
Gender : Female, Spayed
Species : Canine
Type of Imaging : Ultrasound
Status : Complete

Clinical Signs

  • Decreased Drinking

Images

barney_dandy_dcm_epssbarney_dandy_dcm_la_aobarney_dandy_dcm_lv_mmodebarney_dandy_dcm_mr

Clinical Signs

  • Decreased Drinking
Skip to content