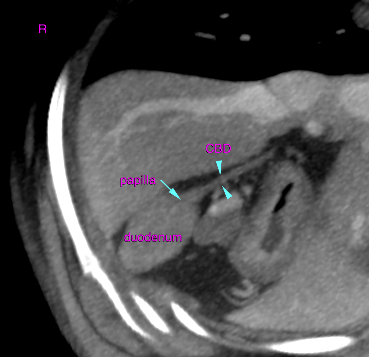
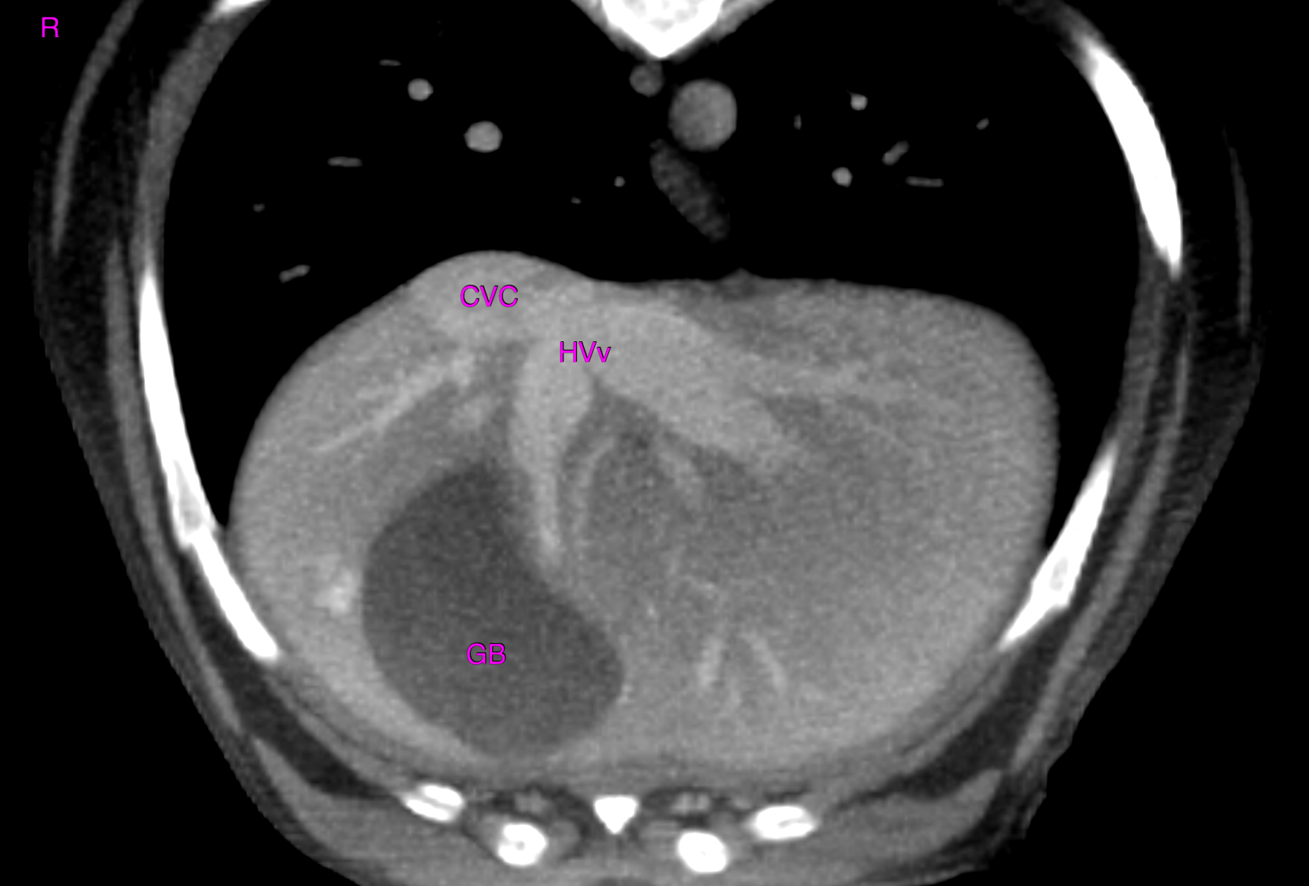
CT – Structurally normal abdomen in a 10 year old MN Dachshund with history of elevated liver enzymes

Case Study

CT – Structurally normal abdomen in a 10 year old MN Dachshund with history of elevated liver enzymes

This 10 year old Dachshund has a history of liver enzyme elevation of at least 6 months duration.

This 10 year old Dachshund has a history of liver enzyme elevation of at least 6 months duration.

Image Interpretation

CT of the abdomen – The computed tomographic findings of the liver and remainder of the abdomen are within normal limits.

DX

No evidence of structural pathology within the abdomen

Outcome

Consider idiopathic or toxic transient liver enzyme elevation versus diffuse ifiltrative pathology such as vacuolar hepatopathy or emerging inflammatory/neoplastic infiltrate.

Ultrasound guided fine needle aspiration or Tru cut biopsy of the liver may be considered in case of persistent/increasing enzyme elevation or development of clinical signs

Patient Information

Patient Name : Beanie Wells Latimer/MPI
Gender : Male, Neutered
Species : Canine
Type of Imaging : Ultrasound
Status : Complete
Liz Wuz Here : Yes
Code : 16_00061

Images

bildschirmfoto_2016-06-29_um_15bildschirmfoto_2016-06-29_um_15

Blood Chemistry

  • ALT (SGPT), High
  • AST (SGOT), High
Skip to content