This 10 year old MN DDSH cat has a history of OS exophthalmia, elevated nictitans, mild conjunctival hyperemia/thickening, limited ability to retropulse the globe.
Physical Exam: suspect retrobulbar mass
CBC: unremarkable Chemistry: BUN 38, Chol 266, Trig 190, Amy 1337
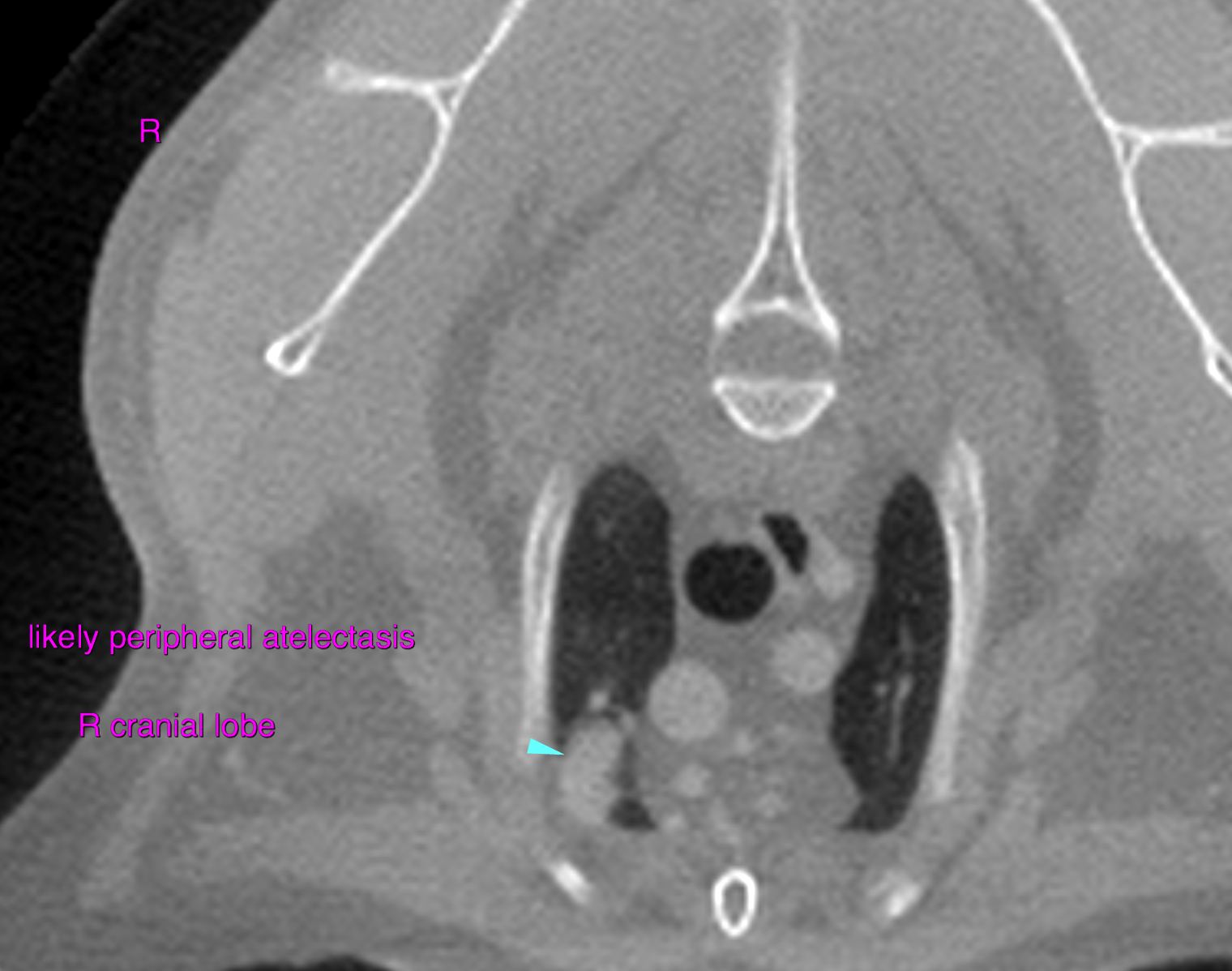
Reason for Ultrasound Exam: further evaluation prior to possible surgery and staging- patient was taken to surgery by boarded ophthalmologist after CT scan for enucleation and tumor resection.
This 10 year old MN DDSH cat has a history of OS exophthalmia, elevated nictitans, mild conjunctival hyperemia/thickening, limited ability to retropulse the globe.
Physical Exam: suspect retrobulbar mass
CBC: unremarkable Chemistry: BUN 38, Chol 266, Trig 190, Amy 1337
Reason for Ultrasound Exam: further evaluation prior to possible surgery and staging- patient was taken to surgery by boarded ophthalmologist after CT scan for enucleation and tumor resection.


