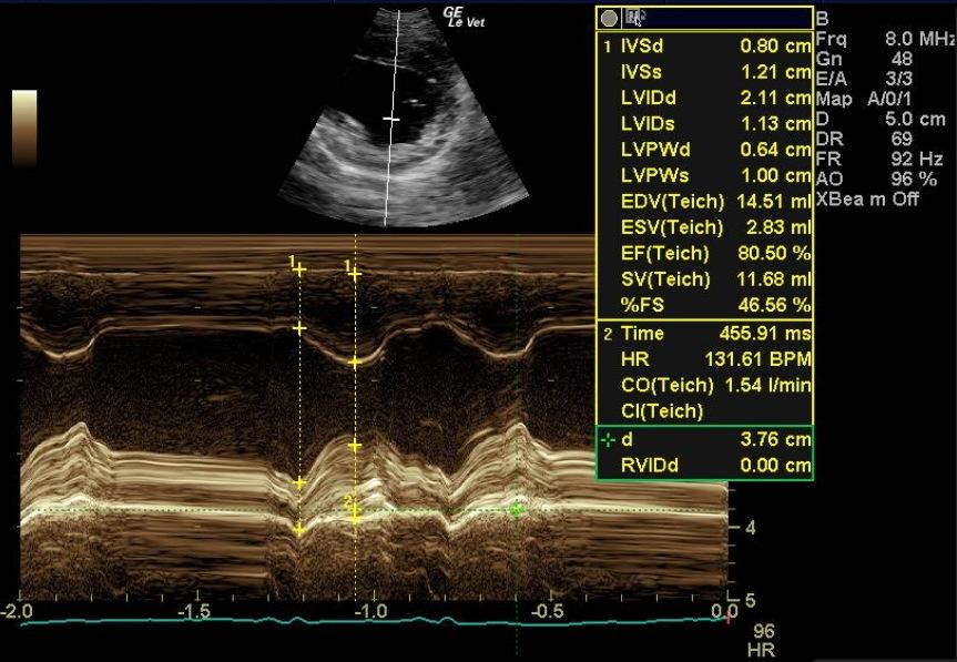
A 1-year-old female spayed toy poodle dog presented for evaluation of bradycardia. Blood pressure was within normal limits. Survey thorax radiographs showed normal size and shape of the cardiac silhouette and left atrium. The vertebral heart sum was 10.2, and a mild interstitial lung pattern was noted.
A 1-year-old female spayed toy poodle dog presented for evaluation of bradycardia. Blood pressure was within normal limits. Survey thorax radiographs showed normal size and shape of the cardiac silhouette and left atrium. The vertebral heart sum was 10.2, and a mild interstitial lung pattern was noted.


