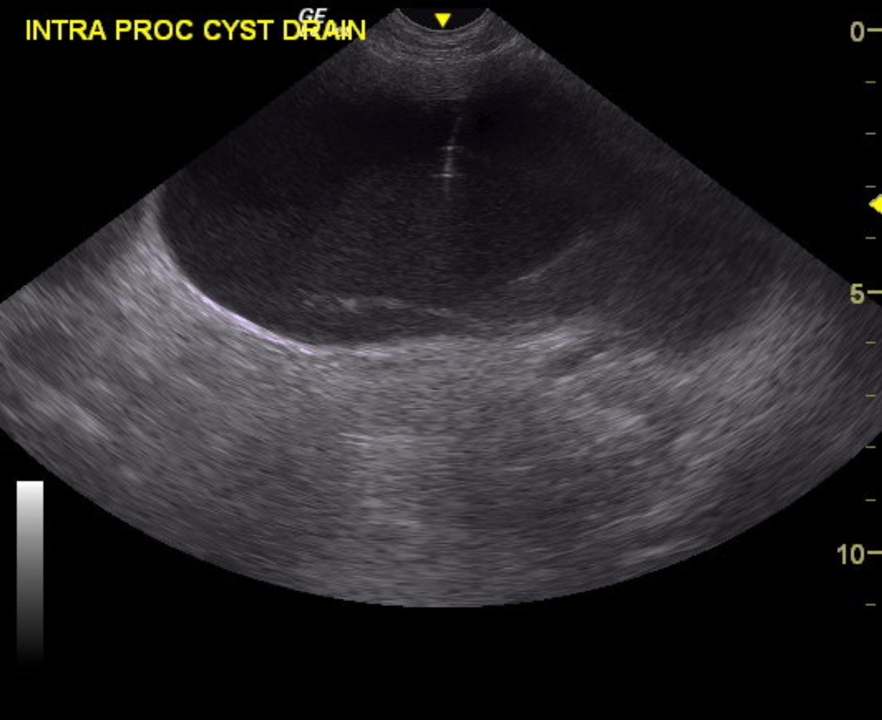
A 7-year-old intact male Boxer was presented for evaluation of tenesmus and hematochezia with normal urinalysis, CBC, and serum biochemistry. Prostatomegaly was present on rectal palpation. Survey radiographs showed a mass caudal to the urinary bladder.



