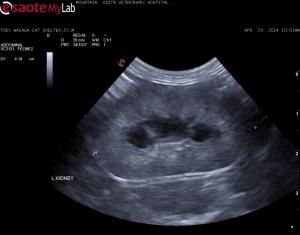
– 5 year old shelter adopted cat severe azotemia, anemia, Feleuk/FIV negative, corono virus positive (I know not helpful)
– no history of toxin ingestion
– thick, hyperechoic renal cortices – no lymphadenopathy and rest of scan unremarkable
lymphoma, FIP, chronic nephritis?
– patient will likely be euthanized due to clinical status but would you FNA these kidneys?
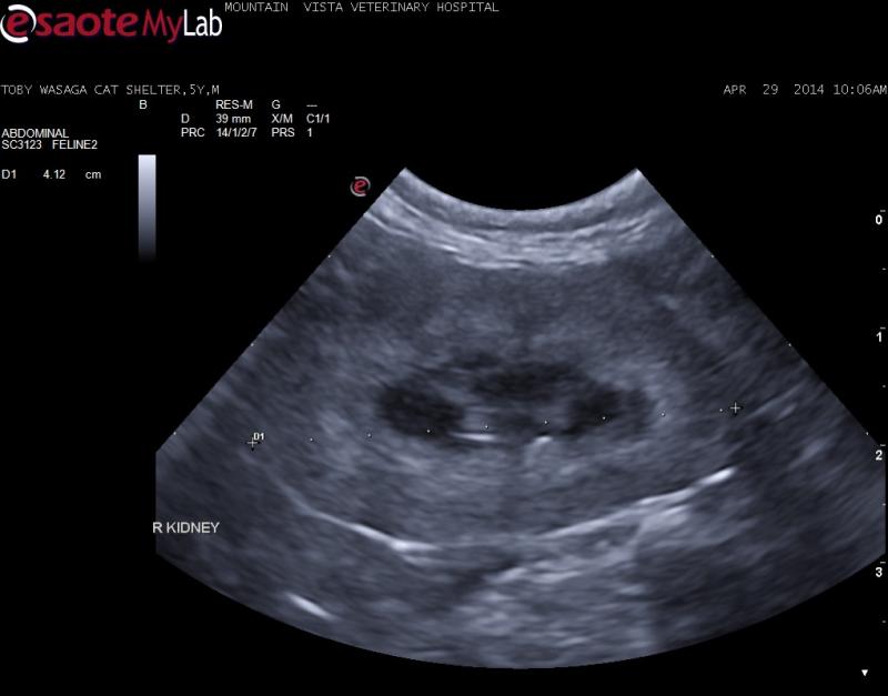
– 5 year old shelter adopted cat severe azotemia, anemia, Feleuk/FIV negative, corono virus positive (I know not helpful)
– no history of toxin ingestion
– thick, hyperechoic renal cortices – no lymphadenopathy and rest of scan unremarkable
lymphoma, FIP, chronic nephritis?
– patient will likely be euthanized due to clinical status but would you FNA these kidneys?


Comments
Thick cortices, irregular
Thick cortices, irregular C/M junction, swollen contour of your 3 diffs “lymphoma, FIP, chronic nephritis” I put chronic intersitial nephrosis first and dry FIP second lymphoma distant third just to put a third one in there as the contour and cm structure is still holding more consistent with chronicicity and inflammatory disease and less so with neoplasia. Uniform parenchymal remodeling and expansion is happening. Lymphoma distorts structure, inflammatory fills the sack and remodels if that makes sense. There is a medullary rim sign which FIP can do. Needs core Bx pre or post portem. FNA will rule out lsa and may give insight to granulomatous for FIP but rarely definitive dx on fna but as i find new and select cytologists this may change.
see the renal lymohoma in the sonopath search
http://sonopath.com/members/case-studies/search?text=renal+lymphoma&species=All
Thick cortices, irregular
Thick cortices, irregular C/M junction, swollen contour of your 3 diffs “lymphoma, FIP, chronic nephritis” I put chronic intersitial nephrosis first and dry FIP second lymphoma distant third just to put a third one in there as the contour and cm structure is still holding more consistent with chronicicity and inflammatory disease and less so with neoplasia. Uniform parenchymal remodeling and expansion is happening. Lymphoma distorts structure, inflammatory fills the sack and remodels if that makes sense. There is a medullary rim sign which FIP can do. Needs core Bx pre or post portem. FNA will rule out lsa and may give insight to granulomatous for FIP but rarely definitive dx on fna but as i find new and select cytologists this may change.
see the renal lymohoma in the sonopath search
http://sonopath.com/members/case-studies/search?text=renal+lymphoma&species=All